扁平足临床诊断

2013-02-27 文章来源:首都医科大学附属北京同仁医院足踝外科矫形中心 张建中   我要说

骨科在线版权所有,如需转载请注明来自本网站

现病史

Ø  畸形出现的时间(儿童时期遗留)

Ø  临床症状(疼痛/无力)

Ø  疼痛部位及VAS评分

Ø  症状持续的时间

Ø  行走距离

Ø  既往与现在症状的严重程度(尤其是与足弓和后足有关的疼痛)

既往史及家族史

Ø  相关的疾病:类风湿关节炎、高血压、糖尿病、血清学阴性关节病

Ø  职业、活动量和肥胖

Ø  穿鞋习惯

Ø  创伤史

Ø  治疗史

Ø  平足畸形的家族史

体格检查

详细而全面的体格检查,是评价扁平足畸形的严重程度;是否发生合并症;以及是否伴有关节退行性改变最基本的诊断方法。扁平足畸形通常表现为跟骨外翻,前足的内翻以及外展,有时会合并距下关节半脱位。临床检查通常以坐位、立位和行走时检查最为重要。

Ø  步态

Ø  内侧足弓塌陷

Ø  跟骨外翻角

Ø  前足内翻角

Ø  疼痛及压痛(舟骨结节/内踝/外踝/胫后肌肌腱/跗骨窦)

Ø  多趾征(+/-

Ø  提踵试验(+/-)(单足/双足)

Ø  木板试验

Ø  距下关节活动度

Ø  应力试验(+/-

Ø  Silfverskiold试验(跟腱腓肠肌试验)

Ø  足背动脉

Ø  足部肌力:(胫前肌/腓骨长肌/胫后肌/腓骨短肌)

疼痛及压痛

        最常见的压痛点位于内踝至舟骨结节,胫后肌肌腱末梢处。

        胫后肌肌腱也可出现压痛及叩击痛。

        外踝撞击痛

        跗骨窦疼痛

多趾征

      从正后方观察患足,如果外侧缘看到超过两个以上的足趾,则提示多趾征阳性

 

 

前足外翻角

       检查者一只手纠正足跟外翻。

       检查者另一只手稍稍用力,支撑前足,纠正跖楔关节对前足内翻角的影响

 

跟骨外翻角

      患者站立位,取跟腱轴线以及跟骨轴线为角的两条边,取距骨结节位置为角的顶点,测量跟骨外翻角。

 

 

提踵试验

      嘱患者双足与肩同宽正直站立进行检查。

      单足提踵试验有困难者可手扶台面,但应保证腰部直立。并嘱患者尽量抬高足跟。

 

 

       双足站立时提起足跟:正常人足跟出现内翻并可以稳定抬起,而对于扁平足或胫后肌肌腱功能不全的患者会出现抬起后足跟不能内翻,或抬起后不稳定。+

 

 

       单足站立时提起足跟:对于不能单足提起足跟,以及完全提起足跟后仍出现后足外翻或不稳定的患者,提示有胫后肌肌腱功能不全的存在。+

 

 

木板试验

患者前足内侧放置1英寸至2英寸厚度木板,观察足跟。

       跟骨无外翻:柔韧性扁平足

       跟骨仍外翻:僵硬性扁平足

 

距下关节活动度

       距下关节活动正常

柔韧性扁平足

       距下关节活动受限

僵硬性扁平足

 

 

Silfverskiold试验(跟腱腓肠肌试验)

       跟腱挛缩

踝关节被动背伸 (伸膝)小于10°

踝关节被动背伸 (屈膝90°) 小于10°

 

 

 

       腓肠肌挛缩

踝关节被动背伸 (伸膝)小于10°

踝关节被动背伸 (屈膝90°) 大于10°

 

 

应力试验

       患者站立位做足内翻运动,足弓可恢复为应力试验阳性,患者为柔韧性平足

 

 

影像学检查

X线是诊断扁平足的常用方法,其中负重正侧位X线是最为常用的诊断方法。通过测量多个角度来评价内侧纵弓的降低,前足的外展以及跟腱的挛缩程度。并根据这些指标指导临床治疗方式的选择。扁平足的X线测量指标主要有:1.负重侧位X线片:距骨第1跖骨角,跟骨倾斜角等。2.负重正位X线片:距舟覆盖角,距骨第2跖骨角等。其中侧位距骨第1跖骨角被认为是X线上评价扁平足最有意义的指标。除此之外还可应用SaltzmanX线及后足长轴位X线评价后足内外翻程度。

常用影像学检查:

Ø  双足负重正侧位X线

Ø  SaltzmanX线

Ø  后足长轴位X线

 

相关X线测量

       正位:

距舟覆盖角

距骨第2跖骨角

       侧位:

骨第1跖骨角(Meary

跟骨倾斜角(Pitch

 

距骨第1跖骨角(Meary

1.         取距骨最高点与距骨最低点连线中点,距骨颈连线中点。二者连线为距骨轴线C1-C2

2.         1跖骨轴线E1-E2

       正常足:+4°~ -4°

       轻度扁平足:4°~15°

       中度扁平足:15°~30°

       重度扁平足:>30

 

 

跟骨倾斜角(pitch角)

1.         B1-B2为跟骨下缘的切线

2.         A1-A2为跟骨最低点与前足内侧籽骨最低点的连线

       足弓降低:10°~20°

       足弓正常:20°~30°

       足弓升高:>30

 

距舟覆盖角

1.         距骨关节面最内侧A,最外侧B,取两者连线

2.         舟骨关节面最内侧C,最外侧D,取两者连线

3.         两条直线垂线的夹角即为距舟覆盖角

       正常人平均:10°(14°

       扁平足平均:≥22

 

距骨第2跖骨角

1.         距骨颈取两条平行线,其中点的连线A

2.         2跖骨轴线B

       正常足:<16°3-6°

 

 

Saltzman

1.         确定胫骨长轴E

2.         确定跟骨长轴F

       距跟骨最低处7mm处做水平线C,分为3:2

       距跟骨最低处20mm处做水平线D:分为1:1

      正常足:0°~5°

      外翻足:5°~10°

      严重外翻足:>10°

      内翻足:0°~-10°

      严重内翻足:<-10°

 

 

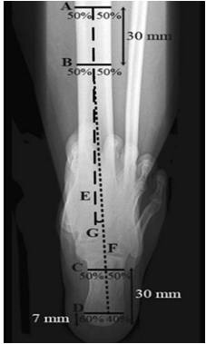
后足长轴位

1.         确定胫骨长轴E

2.         确定跟骨长轴F

       距跟骨最低处7mm处做水平线C,分为3:2

       距跟骨最低处30mm处做水平线D:分为1:1

 

 

 

分享到: