指骨钢板结合骨间缝合法治疗下胫腓关节分离

2013-01-04 文章来源:天津市第一中心医院骨科 许东浩 胡茂忠   我要说

骨科在线版权所有,如需转载请注明来自本网站

下胫腓关节分离是踝关节骨折中常伴有的损伤之一。传统的方法是应用螺钉固定下胫腓关节,但是对于下胫腓关节分离的螺钉固定治疗方法一直存在争议,这包括螺钉的尺寸、应用螺钉的数目以及螺钉距离胫距关节水平面的位置。下胫腓关节在生理情况下是微动关节,螺钉固定方法提供了坚强的内固定,但是坚强固定引起的螺钉松动、断裂甚至再次手术往往导致患肢功能障碍等不良后果。本院自2009年1月至2010年4月采用指骨钢板结合骨间缝合法治疗下胫腓关节分离,共治疗踝关节骨折合并下胫腓关节分离患者15例,均获得满意疗效。现报告如下。

1 临床资料

1.1 一般资料 本组患者,男9例,女6例;年龄23~72岁,平均47.5岁,均为下胫腓关节分离合并踝关节骨折。术前所有患者均拍摄双侧踝关节正侧位X线片,并应用计算机测量双侧下胫腓关节间隙。患侧间隙平均5.48mm(3~9mm)。踝关节骨折采用AO 锁定加压金属接骨板及空心螺钉(瑞士辛迪思公司 SynthesTM)应用AO标准切开复位内固定技术固定。下胫腓关节应用5号肌腱缝合线(美国强生公司 Johnson & JohnsonTM)固定,胫骨内侧放置指骨钢板(匈牙利SonamentalTM 公司)(图1)。

图1 下胫腓关节固定肌腱缝合线及金属指骨接骨板

1.2 方法

指骨钢板结合骨间缝合法治疗下胫腓关节分离的操作方法:术前拍摄患者双踝关节正侧位X线片,应用计算机图像处理软件测量患者双侧下胫腓关节间隙角度,进行患侧及健侧对比。术中采用连续硬膜外麻醉,患者仰卧位,对于合并踝关节骨折的患者,于踝关节外侧纵行切开皮肤长约3~4cm,暴露外踝骨折,应用AO切开复位内固定标准技术及AO 锁定加压金属接骨板固定外踝骨折。内踝纵行切开皮肤2~3cm,然后于腓骨侧选取下胫距关节面上方约2cm处,平行关节面自腓骨向胫骨方向钻孔,应用4孔指骨钢板适度折弯后,服帖于胫骨远端钻孔水平。导针牵引下选取4条5-0号韧带缝合线穿过指骨钢板,点状复位钳钳夹下胫腓关节使之复位,缝合线于腓骨侧钢板打结,并将线结包埋于腓骨钢板螺钉孔内(图2)。术中影像学检查确认踝关节骨折及下胫腓关节准确复位。

图2内踝处指骨钢板及外踝处肌腱线打结及打结后绳结包埋情况

1.3 术后处理

术后患肢无负重石膏固定4周,术后6周开始适度被动功能锻炼,术后8周可下地活动。术后6个月行双侧踝关节影像学检查,确认下胫腓间隙是否增宽。术后1年,骨折愈合后,取出内固定器材(一般时间为1年)。

2 结果

所有患者术前均拍摄双侧踝关节正侧位X线片,并应用计算机图像处理软件测量双侧下胫腓关节间隙。患侧间隙平均5.48mm(3~9mm)。

所有患者术中均应用导钻钻孔,导针引导肌腱缝合线,内踝放置指骨钢板,外踝肌腱线打结,所需时间为5~10min,平均7min。15例胫骨骨折的患者均在气囊止血带下完成操作,没有额外增加出血量。

本组患者均获得随访,随访时间为6~12个月,平均9个月。所有患者切口I期愈合。随访采取美国足踝外科协会评分 [American Orthopedic Foot and Ankle Society (AOFAS) hindfoot and ankle scores]评定踝关节功能(76~94分,平均87.3分)。随访患者均拍摄双侧踝关节正侧位X线片(图3),并对其进行测量。X线示:术后患侧下胫腓间隙平均为3.8mm(3~5mm)。本组患者中未发生术后下胫腓关节间隙再次增宽以及骨间缝合线再次手术取出。无感染,血管神经损伤及内固定失败等并发症。

a

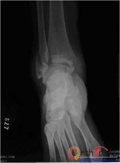
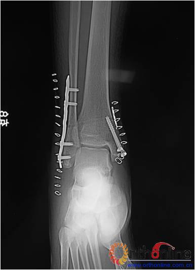
b

3 a. 术前患者踝关节X线片,可见下胫腓关节间隙增宽;b. 术后患者踝关节X线片,未见下胫腓关节分离现象

3 讨论

3.1 下胫腓关节分离是踝关节骨折中常伴有的损伤之一。文献报道,每年下胫腓关节损伤的发病率约为15/10万,并且约有10%的踝关节骨折患者并发下胫腓关节损伤[1],单发的不伴有踝关节骨折的下胫腓关节损伤发病率为1%左右。这类损伤常常会导致误诊,如果得不到正确的治疗,常会造成踝关节的慢性疼痛及踝关节的骨性关节炎。传统的方法是应用螺钉固定下胫腓关节,但是,对于下胫腓关节分离的螺钉固定治疗方法一直存在争议,这包括螺钉的尺寸,应用螺钉的数目以及螺钉距离胫距关节水平面的位置。下胫腓关节在生理情况下是微动关节,螺钉固定方法提供了坚强的内固定,但是坚强固定引起的螺钉松动、断裂甚至再次手术往往导致患肢功能障碍等不良后果[2]。James等[3]报告了金属纽扣结合骨间缝合法弹性固定下胫腓关节的临床应用,并取得了良好的疗效。同时通过大宗病例的随访对比此方法和传统的螺钉固定下胫腓关节,认为骨间缝合法对于修复下胫腓关节损伤明显优于传统的螺钉固定[4]。但是,金属纽扣和胫骨的接触面积过小,造成局部应力集中,从而会引起局部骨质的压迫及微骨折。

自2009年1月至2010年4月间,笔者采用指骨钢板结合骨间缝合法固定下胫腓关节治疗下胫腓关节损伤。此方法应用缝合线弹性固定下胫腓关节,符合解剖学的生理情况。避免了螺钉过度坚强固定而引起的螺钉折断,再次手术行下胫腓螺钉取出术等情况。胫骨侧指骨钢板的应用既扩大了钢板与骨质的接触面积,又避免了局部过度应力集中而引起的微骨折和骨质破坏。此方法具有取材方便、操作简单,减少了手术创伤和出血,缩短了患者术后制动时间,避免了再次手术行下胫腓螺钉取出术等众多优点,具有较高的安全性和可操作性,易于在临床上普及应用。

3.2 注意事项:此方法可适用于合并踝关节骨折或单纯下胫腓关节损伤,准确定位导针的位置及角度是此方法的关键。在缝线打结固定之前,患足应处于中立位,下胫腓关节必须应用点状持骨器进行钳夹,确保下胫腓关节的充分复位。

4 结论

传统的螺钉坚强固定下胫腓关节往往会导致螺钉松动、断裂、下胫腓关节再次分离,以及患者下地活动前需手术取出下胫腓螺钉等不良后果。笔者采用指骨钢板结合骨间缝合法固定下胫腓关节治疗下胫腓关节损伤合并踝关节骨折。此术式操作简单,不必于术后患者负重下地之前再次行下胫腓螺钉取出术,为患者早期下地活动提供了条件。同时避免了螺钉断裂、松动、脱离;以及下胫腓关节再次分离等众多优缺点,远期疗效可靠。

 

 

 

 

 

 

 

 

参考文献

 

1. Beris AD, Gabbani KT, Xenakis TA,et al: Surgical treatment of malleolar fractures: A review of 144 patients. Clin Orthop Relat Res, 1997, 3(41):90-98.

 

2. Thornes B, Shannon F, Guiney AM, et al: Suture-button syndesmosis fixation accelerated rehabilitation and improved outcomes. Clin Orthop Relat Res 2005, 4(31): 207-212.

 

3. James MC, Christopher FH, Terrence MP, et al: Treatment of syndesmotic disruptions with the Arthrex TightropeTM : a report of 25 cases. Foot & Ankle international. 2008, 29(8):773-780.

 

4. James MC, Christopher FH, Terrence MP, et al: Transosseous fixation of the distal tibiofibular syndesmosis: comparison of an interosseous suture and endobutton to traditional screw fixation in 50 cases. J Foot & Ankle Surg. 2009,48(6):620-630.

分享到: