短时间膝关节镜手术后并发肺栓塞1例报告

2010-10-21 文章来源:骨科在线   我要说

骨科在线版权所有,如需转载请注明来自本网站

    肺动脉血栓栓塞症是来自静脉系统或有新的血栓阻塞肺动脉或其分支导致的肺循环和呼吸功能障碍疾病是骨科围手术期死亡的重要原因之一[1]。人工全髋关节置换术、人工全膝关节置换术等骨科大手术下肢深静脉血栓形成发生率较高[2], 下肢近端深静脉血栓形成是肺栓塞栓子的主要来源,预防深静脉血栓的形成可以降低肺栓塞的风险。而膝关节镜手术继发肺栓塞鲜有报道,尤其是手术时间很短的膝关节镜手术。我院于2010年4月一例行膝关节镜手术患者发生肺栓塞,报告如下。
1.病历资料
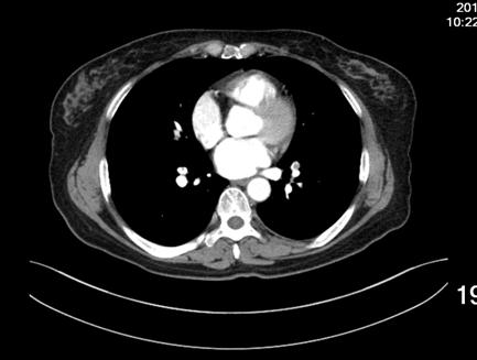
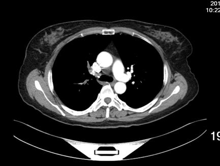
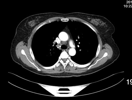
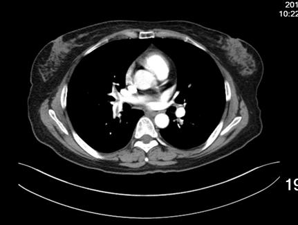
    患者女性,52岁,因右膝关节疼痛,活动受限三十年入院。既往无高血压等慢性病史,无静脉血栓栓塞症病史,无慢性静脉瓣功能不全病史。诊断:右膝半月板损伤,骨关节炎。术前排除手术禁忌,于CSEA下行右膝关节镜下探查清理,半月板成形术。手术过程顺利,手术使用止血带,手术时间25分钟,失血约10ml。术后24小时患者下床后出现头晕、头迷、气短、冷汗、扶墙晕倒于墙边,给予心电血氧监护,血压:78/45mmHg,心率:118次/分,指脉血氧饱和度:78%,急检指尖血糖:6.4,血浆D-二聚体:1247ug/L,心肌酶谱及肌钙蛋白未见明显异常,术后2天夜晚再次出现头晕,头迷,气短,冷汗等症状,给予吸氧等治疗后症状缓解,检查肺增强CT(图1),示患者多发肺动脉栓塞,行双下肢静脉彩超检查,示右小腿肌间血栓,左小腿肌间静脉扩张(图2)。术后第3天于局麻下行经皮下腔静脉滤器置入术后,转入呼吸科行继续治疗。
2.讨论
    膝关节手术发生肺栓塞报道较少,DeLee [3]报道关节镜术后并发DVT为0.1%,所报道的病例中23% 的深静脉血栓并发了肺栓塞,其中4例死亡 。Poulsen [4]等统计分析 DVT 的发生率为0-7.3%,PE 为0-0.32%。
    静脉血栓形成的危险因素包括导致静脉血液淤滞、静脉系统内皮损伤和血液高凝状态的因素。危险因素分为原发性及继发性两类。而继发性危险因素最为常见,包括老龄、创伤、既往静脉血栓栓塞症病史、肥胖、瘫痪、制动、术中应用止血带、全身麻醉、恶性肿瘤、中心静脉插管、慢性静脉瓣功能不全等。危险因素越多,发生静脉血栓栓塞症的风险就越大[1]。大部分早期血栓出现在术后24h内,而血液高凝状态从创伤手术开始就已经形成。动物实验证实:应用止血带后全血粘度及血浆粘度升高,红细胞集聚指数、刚性指数上升,变形指数显著下降,早期可以出现红细胞及血小板的聚集。同时缺血组织中纤溶活性下降,易于白细胞粘附及血栓形成[5]。其次止血带应用可因组织缺血缺氧而致血管内膜损伤,水肿,循环血流滞缓,有形成分聚集阻塞毛细血管。该患者年龄较大,术中使用止血带,手术时间为25分钟,根据骨科手术的静脉血栓栓塞危险分度[1]为高度危险。由于术后患者离床步行活动及床上功能锻炼,体位变动等引起血栓脱落,脱落的血栓随静脉血液回流至右心,流入肺动脉发生肺栓塞。
    膝关节镜手术患者发生肺栓塞少见,且因膝关节镜手术创伤小,手术时间短,因此对接受关节镜手术的患者进行抗凝治疗易被忽略。但是一旦发生肺栓塞的后果较严重,重者导致死亡,引起医疗纠纷。术前、术后根据骨科手术的静脉血栓栓塞危险分度对患者进行评估及时的给予预防措施(包括基本预防、物理预防和药物预防[1]),避免下肢深静脉血栓的形成及肺栓塞的发生。
参考文献
[1]中国骨科大手术静脉血栓栓塞症预防指南(2009版)。
[2]邱贵兴杨庆铭,余楠生,等。低分子肝素钙预防髋、膝关节手术后下肢深静脉血栓形成的多中心研究。中华骨科杂志,2006,26(12):2664-2670。
[3] DeLeeJ C. Chairman , Committee on Complications of Arthrscopy Association of North America. Complications of arthroscopy and arthroscopic surgery : results of a national survey[J].J Arthroscopic Relsurg.1985,1:214-220.
[4] Poulsen K A , Borris L C , Lassen M R.Thromboembolic complications after arthroscopy of the knee [J].Arthroscopy . 1993,(5): 570-573.
[5] 李伟,褚海辰.止血带对兔血液流变学的影响.中华麻醉学杂志,2001,21(2):103-104.
1增强肺动脉CT:多发性肺动脉栓塞。
图2 双下肢静脉彩超: 右小腿肌间血栓,左小腿肌间静脉扩张
分享到:
已有 2 条评论
登录|注册后发表评论!
微微笑来 #2
筛选一下高危患者,应用抗凝药物看来挺有必要
发表于:2012-01-10 21:01:09  IP:60.209.106.21
penghui #1
这确实是应该引起我们重视的工作。小心行的万年船。
发表于:2011-03-19 21:03:22  IP:123.139.95.57