膝关节镜清理术后并发肺动脉栓塞1例报告

2010-10-21 文章来源:骨科在线   我要说

骨科在线版权所有,如需转载请注明来自本网站

    膝关节骨性关节炎是中老年人常见病,治疗方法较多,其中很多病人采用了关节镜清理术,创伤小,短期效果明显。因该手术时间短,术后不严格限制活动,住院时间短,所以大多数病人未采用术后抗凝治疗来预防深静脉血栓栓塞症。我院于2010年4月为1例膝关节骨关节炎病人实施了关节镜清理术,术后发生了肺动脉栓塞,现报告如下。

    患者女性,52岁,因右膝关节疼痛2月为主诉入院。入院根据病史、查体和X线片诊断为右膝骨关节炎,经常规入院检查,未发现手术禁忌症,在硬膜外麻醉下行关节镜清理手术。术中应用止血带止血,手术过程顺利,手术时间为35分钟。术后给予弹力绷带包扎右下肢,术后第一天即嘱病人下地活动,疼痛较术前明显好转。术后给予了抗生素等药物,但未应用抗凝药物。术后第三天,患者出现右下肢肿胀、胸痛、呼吸困难,经行下肢超声和肺CT检查,结合血气分析等指标,呼吸科诊断为右下肢深静脉血栓形成,肺栓塞,转入呼吸科治疗。经溶栓、抗凝、支持等治疗2周后,病情痊愈出院。出院后继续服用华法林,定期检查凝血功能,维持INR值在1.5-1.5。
 讨论
    骨科手术是静脉血栓栓塞症的高危因素之一,根据Virchow’s 理论,导致静脉血栓形成的三要素有血流瘀滞、血液高凝状态、血管壁损伤。骨科手术术中常需要变幻肢体位置,导致血管壁损伤的几率增加。术后部分病人需要限制活动,使血液淤滞,加之手术导致的高凝状态,容易发生静脉血栓栓塞症。如果患者手术时间长、年龄大、既往有肿瘤、肥胖、血栓等危险因素,形成血栓的危险度会显著增加。本例病人尽管手术时间段,病人无明显危险因素,但也发生了血栓,可能与下列因素有关。一是病人年龄为52岁,有中度形成血栓的危险。二是术中应用了止血带,可以造成血流瘀滞和血管内皮损伤,使血栓形成的危险增加。加之术后未应用抗凝药物,因此形成了右下肢深静脉血栓和肺栓塞。本例病人给我们的启示是,无论手术大小,骨科手术均应评估术后深静脉血栓栓塞症的危险度,根据情况术后应该进行基本预防、物理预防和药物预防,以避免静脉血栓栓塞症的发生。
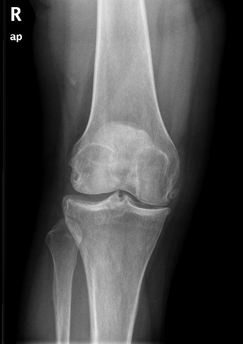
术前正位片
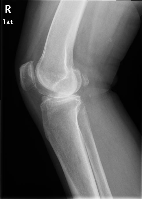
术前侧位片
超声图像1
超声图像2
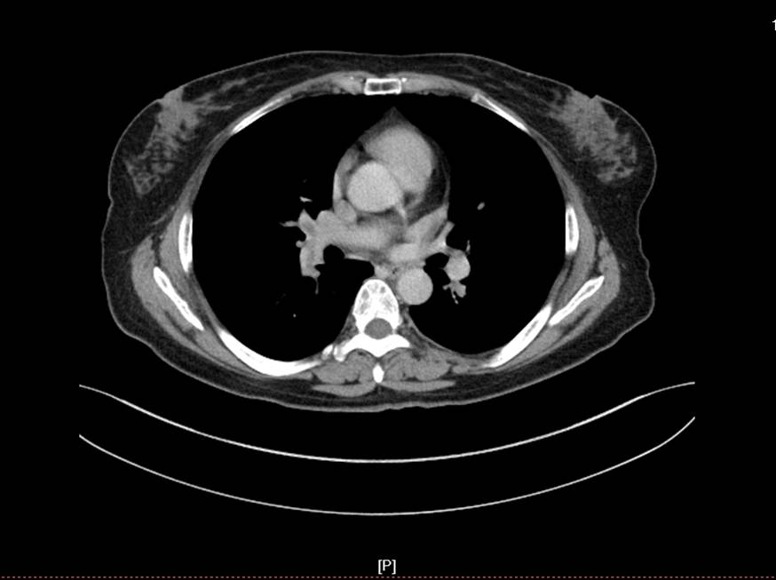
肺CT
清理出骨赘病理
 
分享到:
已有 1 条评论
登录|注册后发表评论!
于庆才 #1
对于四肢骨科手术术后如何预防肺栓塞,我的经验用抗凝药的同时,主要是早期的肢体主被动活动,以促进血液循环。主动锻炼的效果应该比被动锻炼的效果好的多,但是多数病人惧怕疼痛,不敢活动,但是要有医生和专业护士的指导
发表于:2011-02-10 09:02:33  IP:123.233.232.188