概述相对于下肢深静脉血栓形成,骨科创伤后上肢深静脉血栓形成相当少见。并且发展至肺栓塞患者在临床上的报道更是少见。本文报道一例高龄患者于腕关节骨折术后迟发肺栓塞的罕见病例。通过此例病例讨论总结深静脉血栓发生的高危因素,结论为简单骨折的高龄患者经手术治疗后,临床建议行短期抗凝治疗,预防深静脉血栓形成。
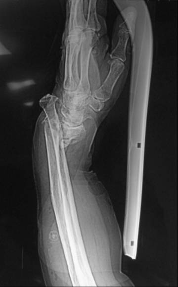
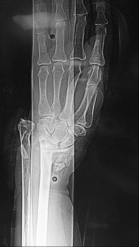
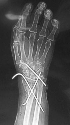
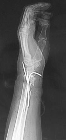
患者王某,老年女性,80岁,主因摔伤致左腕开放性骨折急症于2010年3月入院。查体:患者左侧腕关节处尺骨茎突哆出,掌侧皮肤裂伤,长约6cm,肌腱及皮下组织外露,左腕关节畸形。入院诊断为左侧腕关节开放伤(图1a);左侧桡骨远端骨折;左侧腕关节脱位(图1b)。于入院当日急症臂丛麻醉下行左腕伤口清创缝合术,左侧尺腕关节复位内固定术,左侧桡骨远端骨折复位内固定术(图2)。手术过程顺利,术后患者恢复良好,约术后5周拔除左侧腕关节固定克氏针,后患者自动出院。出院后1日患者因突发喘憋,进行性加重再次就诊于我院,血气分析示PO2 36.3mmHg,PCO2 30.4mmHg,D-二聚体4000ng/ml,胸CT示左下肺大片高密度影,肺通气灌注扫描显像提示双肺多发节段灌注缺损。入院诊断为:I型呼吸衰竭;肺栓塞;冠心病;高血压病3级;糖尿病2型;左桡骨远端骨折。给予速碧林 4100IU/d经验性抗凝治疗。第2日患者喘憋症状明显缓解,自诉无呼吸困难,动脉氧分压升至141mmHg(鼻导管吸氧5L/分)。应用速碧林3日后加用华法令5mg /d,间断复查KPTT及INR,华法令与速碧林重叠应用5日后,患者PT延长至18.9s,即停用速碧林,单独应用华法令,1周后患者好转出院。

图1 a、左侧腕关节处尺骨茎突哆出,掌侧皮肤裂伤,长约6cm,肌腱及皮下组织外露,左腕关节畸形。

图1 b、患者术前X线片,左侧桡骨远端骨折;左侧腕关节脱位
图2 患者术后X线片。
讨论
1、发生率 骨科大手术后静脉血栓栓塞症发生率较高,是患者围手术期死亡的主要原因之一,也是医院内非预期死亡的重要原因。在骨科文献中,上肢深静脉血栓形成的临床报道并不多见。相对于下肢深静脉血栓形成,骨科创伤后上肢深静脉血栓形成相当少见,仅占所有肢体深静脉血栓形成的1-4%[1]。因此对于上肢深静脉血栓形成往往在临床上缺乏警惕性及必要的预防措施。
2、高危因素 任何引起静脉损伤、静脉血流停滞及血液高凝状态的原因都是静脉血栓栓塞症的危险因素,其中骨科大手术是静脉血栓栓塞症的极高危因素一[2, 3]。其他常见的继发性危险因素包括高龄、创伤、既往静脉血栓栓塞病史、肥胖、瘫痪、制动、术中应用止血带、全身麻醉、恶性肿瘤、中心静脉插管、慢性静脉瓣功能不全等。危险因素越多,发生静脉血栓栓塞症的风险就越大,当骨科大手术伴有其他危险因素时,危险性更大。
3、总结 本病例中报道患者为80岁高龄,摔伤后导致左侧腕关节开放性骨折,急诊手术行清创探查及骨折复位术,术中应用止血带,手术时间大于45分钟,并且术中探查血管神经及肌腱情况存在血管牵拉情况,术后患者因肢体疼痛,卧床时间长,患肢制动。根据骨科手术的静脉血栓栓塞症危险分级[4, 5]:此患者属于静脉血栓栓塞症高度危险组。但上肢深静脉血栓形成的临床报道并不多见,往往在临床上缺乏警惕性及必要的预防措施。临床工作中,对于简单的,不限制患者下地活动的上肢骨折,往往于围手术期不进行常规抗凝治疗。本例报道中患者根据临床治疗经验,于围手术期未对患者行相应的抗凝治疗,患者肢体制动及长期卧床后,迟发上肢深静脉血栓并导致肺栓塞。经相关实验室影像学检查后确诊,经验应用速碧林 4100IU/d经验性抗凝治疗,第2日患者喘憋症状明显缓解,应用速碧林3日后加用华法令吗,华法令与速碧林重叠应用5日后,停用速碧林,单独应用华法令,1周后患者好转出院。遗憾的是针对此患者,未行上肢静脉B超检查,因此未能明确肺栓塞血栓来源。就此例罕见腕关节骨折术后高龄患者迟发肺栓塞病例,笔者建议属于静脉血栓栓塞症高度危险组的外伤骨折患者,即便是简单骨折,不影响日常活动,仍需要围手术期短期抗凝治疗。
1.Adla. D.N., Ali. A., and Shahane. S.A., Upper-extremity deep-vein thrombosis following a clavicular fracture. Eur J Orthop Surg Traumatol, 2004. 14: p. 177-179.
2.Heit Ja, O`Fallon WM, and Petterson TM, Relative impact of risk factors for deep vein thrombosis and pulmonary embolism: a population-based study. Arch Intem Med, 2002. 162(11): p. 1245-1248.
3.Anderson FA Jr and S. FA., Risk factors for venous thromboembolism. Circulation, 2003. 107(23 Suppl 1): p. 9-16.
4.Caprini JA, Thrombosis risk assessment as a guide to quality patient care. Dis Mon, 2005. 51(2/3): p. 70-78.
5.Geerts WH, Heit JA, and Clagett GP, Prevention of venous thromboembolism. Chest, 2001. 119(1 Suppl): p. S132-175.