学会这6种技巧,实现胫骨高位截骨术的“个性化”治疗!
2024-03-07 文章来源:临沂市人民医院骨科医学中心 作者:吴立生,裴保安 我要说
学会这6种技巧,实现胫骨高位截骨术的“个性化”治疗!
来源:临沂市人民医院骨科医学中心
作者:吴立生
HTO是膝关节炎阶梯性治疗的重要手段,自Coventry(1965)提出胫骨近端高位截骨术(HTO)以来,HTO治疗膝内翻并内侧间室骨性关节炎的中、远期疗效得到了广泛证实。外侧闭合楔形截骨(CWHTO)和内侧开放楔形截骨(OWHTO),是最常用的两种截骨方式。目前HTO在国内已经得到迅速推广。
经典Coventry HTO手术适应证:

经典Coventry HTO相对禁忌证(Paley 1994):
①LCL不稳定;②外侧半脱位;③内侧胫骨平台塌陷;④膝关节活动度小于90度;⑤膝关节屈曲挛缩大于20度;⑥外侧间室关节病;⑦高龄;⑧肥胖。
这些禁忌证只针对经典的Coventry HTO,而并非整个HTO手术,“量身定制”的个体化HTO可以进行更好的“保膝”治疗,将这些禁忌证变为非绝对禁忌证。
做好个体化HTO需要考虑以下几个方面:
①如何使用对线异常试验(MAT)辨识对线异常的来源?
②如何根据膝关节内侧间隙确定目标力线?
③如何根据矫形度数确定截骨方式?
④OWHTO对髌骨高度的影响?
⑤合并内侧平台塌陷、外侧半脱位如何处理?
⑥合并旋转、短缩、过伸、屈曲如何处理?
⑦合井MCL、LCL松弛怎么办?
1、如何使用MAT辨识对线异常的来源?
(1)膝内翻畸形的来源
骨性畸形:
股骨:内翻、外翻,伴或不伴有前后弓、旋转。
胫骨:内翻,伴或不伴有前后弓、旋转。
关节畸形:
LCL松弛;MCL松弛;胫骨平台塌陷;外侧半脱位。

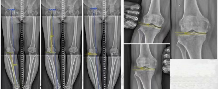
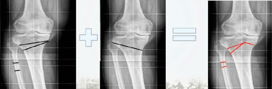
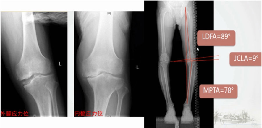
通过MAT测量全长片和内外侧应力位片,可以明确的测量出畸形的来源是股骨还是胫骨,有没有关节内磨损和韧带松弛。
膝MCOA病例,对线异常来源多个因素:胫骨畸形(MPTA异常),股骨形(mLDFA异常),胫骨平台塌陷,LCL松弛,内侧关节软骨丢失造成关节线不等宽等。MAT可以确定其中每种成分;应力下拍片,确定JLCA的关节松弛成分。关节软骨丢失占JLCA 3度,LCL松弛占JLCA 4度。

2、如何根据内侧间隙确定目标力线?
根据膝关节内侧间室模式程度选择个体化的目标力线。
关节间隙正常:目标MAD=0
关节间隙减少1/3:目标MAD =1/3Fujisawa点
关节间隙减少2/3:目标MAD =2/3Fujisawa点
关节间隙消失:目标MAD =3/3Fujisawa点

3、如何根据矫形度数确定截骨方式?
(1)外侧闭合楔形截骨(CWHTO)
去除外侧一个楔形骨块,将下肢力线外翻来降低内侧间室的压力。

外侧闭合楔形截骨
优点:截骨端加压闭合,无需植骨。
缺点:造成下肢短缩,矫正度数有限,需行腓骨截骨;容易损伤腓总神经,甚至可能出现筋膜室综合征。
(2)内侧开放楔形截骨(OWHTO)
胫骨近端内侧楔形截骨,逐渐撑开截骨端,改善力线。

内侧开放楔形截骨
优点:更精确,矫正角度较大,无需腓骨截骨。
缺点:截骨端愈合时间长;撑开角度大,需要植骨促进愈合,髌骨高度影响。
(3)Hybrid CWHTO
矫正角度过大,可采用Hybrid CWHTO,改变截骨合页点,有效避免CWHTO和OWHTO的缺点。

混合截骨
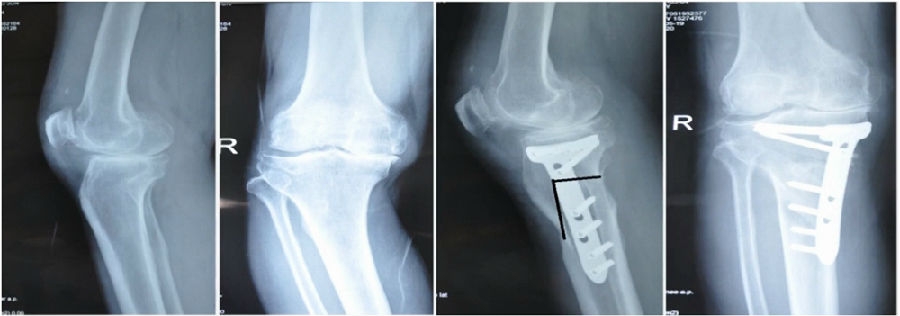
典型病例,女性,56岁,农民右膝内翻18度。

术前影像

术中影像
结合影像学来看,该患者单纯用闭合截骨或开放截骨,对肢体均有影响,所以决定采用混合型截骨。术中混合截骨旋转中心选在内外1/3处,先做闭合楔,然后顺势将开放楔敲开,达到术前设计的目标力线。术后随访力线达到要求。

术后X线
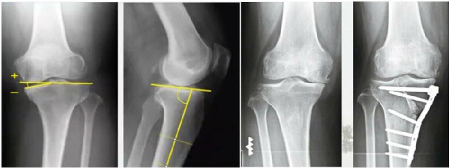
4、OWHTO对髌骨高度影响?
(1)OWHTO可分为上行性或下行性两种截骨方式。
(2)上行性OWHTO可降低髌骨高度的2%-11%;当髌骨高度下降10%,可引起髌股关节压力改变,引发膝前痛。

OWHTO上行截骨与下行截骨
(3)下行性OWHTO对髌骨高度影响较小。
(4)术前存在低位髌骨、髌股关节炎或内翻矫正度数较大时可考虑下行性OWHTO。
有文献证实下行截骨对髌骨的高度确实没有明显影响。

OWHTO下行截骨对髌骨的影响
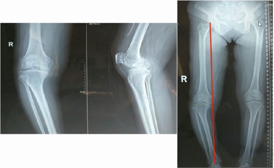
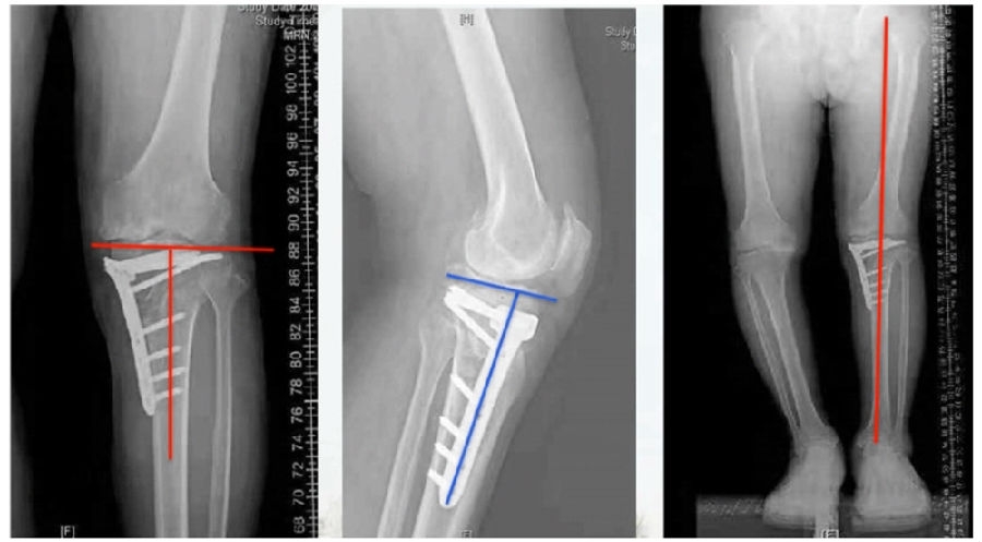
典型病例,男性,65岁,农民,双膝内翻16度。

术前影像
第一次为该患者做了传统上行开放截骨,撑开角度较大,术后用三种方法测量髌骨高度,发现髌骨高度受到影响,髌骨变低了。

左膝上行OWHTO(初次)

上行OWHTO髌骨高度测量
ISI法测量髌骨无明显变化;CDI、BPI法测量髌骨降低明显;患者屈膝锻炼困难。
第二次来院做另一侧肢体时,采用下行截骨,术后患者髌骨高度,无论用哪种方法测量都无明显变化,而且患者膝关节功能迅速得到恢复。

右膝下行OWHTO(再次)

下行OWHTO髌骨高度测量
ISI法测量髌骨无明显变化;CDI、BPI法测量髌骨无明显变化;患者屈膝明显改善。
5、合并内侧平台塌陷、外侧平脱位如何处理?
日本学者首先对该类患者行关节内截骨TCVO。
TCVO适应证:
①内侧间室骨性关节炎较重,内侧平台破坏或者倾斜;
②外侧间室增宽或者半脱位;
③内外翻不稳定较重者。

典型病例,男性,57岁,农民,左膝疼痛3年。

术前

术前影像资料

术前MRI
术前规划:
①关节内截骨,内外侧平台平行。

关节内截骨
②再次确定下肢力线。

确定力线
③关节外截骨。

关节外截骨
④术中首先关节镜探查。关节镜下软骨损伤3度,软骨脱落,软骨下骨暴露。

关节镜下所示
⑤同时做微骨折处理。

微骨折处理
术中先打克氏针确定截骨方向,先做关节内截骨,截完后测量下肢力线,发现并没达到术前设计的Fujisawa点。

术中影像资料
随后用骨刀继续向前敲,做HTO内侧开放楔,截骨完成后内侧固定,并测量下肢力线,此时达到术前设计的要求。

术中影像资料
该患者撑开较大,取了髂骨进行植骨。

髂骨植骨

最终力线
视频1 术后膝关节稳定性
术后检查证实达到了术前预期的手术效果,关节线达到了平行,半脱位得到矫正,同时关节线和地面水平。病人行走达到了理想的效果。


术后X线
患者术后4个月截骨愈合,膝关节稳定维持得非常好。


术后4个月
视频2 术后4个月
术后9个月完全恢复功能状态。

术后9个月
视频3+视频4 术前术后对比
6、合并旋转、短缩、过伸、屈曲如何处理?
当膝关节MCOA合并旋转畸形,膝关节过伸、屈曲缩畸形,肢体短缩等复合畸形时,可以通过联合胫骨结节截骨、改变胫骨的后倾角度等矫正,但内固定矫形存在较大的局限性,可考虑外固定架。

典型病例,女性,35岁,农民,左膝内翻、短缩、内旋。

术前
泰勒外固定架缓慢矫正短缩、内翻、前弓、内旋。


术中
该患者截骨后,做MAD矫正,目标MAD=0。患者术后1个月即达到设计的效果。

术后1个月
视频6 术后1个月
典型病例2,男性,52岁,双膝疼痛,低磷佝偻病,复合畸形。

术前
股骨畸形即时矫正,胫骨畸形缓慢矫正。


术中

手术前后对比

手术前后外观
视频7 手术前后步态
7、总结
(1)HTO是膝关节骨性关节炎阶梯治疗的重要手段,应严格把握手术适应证。
(2)根据畸形来源,关节间隙,矫正角度,髌骨高度,是否伴有复合畸形等情况采用个体化的HTO可提高治疗效果。
(3)根据具体矫正情况选择合适的内固定或者外固定。
作者简介

吴立生,临沂市人民医院骨科医学中心主任,主任医师,硕士研究生导师
学术任职:中国老年保健协会骨关节保护与健康分会常务委员,中国老年医学学会骨科专业委员会保膝学组委员,中国中西医结合学会骨科专业委员会保膝专家委员会副主任委员,中国医师协会创伤外科医师分会委员,中国医疗保健国际交流促进会骨科学分会肢体延长与重建学组委员,山东省医师学会急诊创伤医师分会副主任委员、老年创伤医师分会主任委员,山东省中西医结合学会骨科分会保膝学组组长,山东省康复医学会骨质疏松专业委员会创伤外科学组组长等。



京公网安备11010502051256号