膝单髁置换术治疗外侧间室膝骨关节炎的中期随访研究
2023-05-12 文章来源:骨科在线 作者:骨科在线 我要说
膝单髁置换术治疗外侧间室膝骨关节炎的中期随访研究
薛华明,马童,文涛,杨涛,薛龙,雷雪枫,张文正,冀家中,涂意辉
中华骨与关节外科杂志2023年3月第16卷第3期
外侧间室膝骨关节炎(osteoarthritis,OA)是临床上一种特殊的病变类型,在膝OA中仅占10%~20%。与经典的全膝关节置换术(total knee arthroplasty,TKA)相比,膝单髁置换术(unicompartmental knee arthroplasty,UKA)能够保留交叉韧带和骨量、本体感觉更好、活动能力恢复快、住院时间更短和并发症更少,主观感觉更接近自然膝关节。膝关节内、外侧间室在解剖学、生物力学和运动学上存在显著的差异,现阶段外侧UKA开展的数量仍然较少,并且仅集中于少数临床中心的少数骨科医师,技术难度大,国内文献报道较少。2014年3月至2018年12月上海市同济大学附属杨浦医院采用UKA治疗182例(186膝)外侧间室膝OA患者。本研究拟分析UKA治疗外侧间室膝OA的中期临床疗效,并总结UKA的技术要点,旨在为临床进一步推广UKA提供参考。
1、资料与方法
1.1研究对象
纳入标准:①严重的外侧间室膝OA[Kellgren-Lawrence(K-L)3-4级]、创伤后关节炎(post-traumatic arthritis,PTA)或股骨髁坏死;;前、后交叉韧带,内、外侧副韧带功能完好;③屈曲畸形或外翻畸形<15°,内翻应力位X线片下外翻畸形可人工矫正,内侧关节间隙保持正常;④术前疼痛部位和患者人口统计学数据(低龄、肥胖)不作为UKA的禁忌证。排除标准:①内翻应力位X线片下无法矫正的固定外翻畸形患者;②严重的内侧间室膝OA(K-L3级或以上)患者;③髌骨关节面呈沟槽样改变者;④活动性感染、炎症性关节炎患者;⑤有胫骨或股骨截骨手术史且下肢力线内翻者;⑥严重骨质疏松患者。
2014年3月至2018年12月同济大学附属杨浦医院收治外侧间室膝OA患者205例。依据上述纳入与排除标准,最终选择182例患者186膝进行回顾性分析。其中男54例,女128例,年龄51~88岁,平均年龄(70.4±8.5)岁;左侧65例,右侧113例,双侧4例;体重45~95kg,平均(66.7±10.2)kg;身高142~185cm,平均(161.3±7.1)cm;体重指数(body mass index,BMI)16.7~35.6kg/m2,平均(25.6±3.6)kg/m2。美国麻醉医师协会(American Society of Anesthesiologists,ASA)分级Ⅰ级49膝,Ⅱ级115膝,Ⅲ级22膝。初次诊断:原发OA174膝,PTA12膝;K-L3级85膝,4级101膝。
1.2手术方法
本组手术均由同一名具有丰富UKA手术经验的关节外科医师完成,均使用骨水泥型固定垫片单髁假体。所有患者于腰椎管内麻醉后取仰卧位,大腿根部应用止血带,大腿中部托架支撑。髋关节屈曲30°~40°,膝关节屈曲110°,小腿自然下垂,髌骨位于正前方。采用改良髌旁外侧切口,切口沿髌骨中外1/3及髌韧带外缘,从髌骨上极至关节线下2~3cm。术中无需外翻髌骨。应用“移动窗技术”,通过屈伸膝关节充分暴露切口深部,去除股骨髁、髌骨外侧缘、胫骨平台、髁间窝骨赘。髌股关节退变较重的病例常规进行髌骨成形术,包括去除增生骨赘,平滑髌骨关节面,以及髌骨周围去神经化。胫骨水平截骨采用髓外定位,位于胫骨磨损最低点下方2~3mm,垂直截骨位于外侧髁间嵴顶点外侧1~2mm。安装胫骨试模,确认大小合适。膝关节伸直下胫骨前缘与股骨髁接触部位做标记线,即为股骨髁上缘截骨参考线。LinkSled股骨侧假体属于软骨替代型假体,术中仅需彻底剔除残留的表层软骨,或者仅需打磨表层硬化骨,塑形以适配假体的轮廓,股骨定位孔钻孔。将胫骨开槽器放置于截骨面,固定。牙刷锯从前往后上下摆动开槽,随后将龙骨嵴放入槽内,打击器压实,确保开槽器与截骨面齐平。安装股骨与胫骨假体试模,测试屈伸间隙平衡,保留屈曲2mm间隙,测试假体活动轨迹及有无撞击。最后,安装股骨与胫骨假体,骨水泥固定。
1.3术后康复
术后当日患肢弹力绷带加压包扎。第二日拆除绷带后进行踝关节背伸、跖屈运动和腿部肌肉按摩预防血栓形成。鼓励患者积极锻炼股四头肌功能,膝关节要求能完全伸直,屈曲至少达到90°。术后第二日开始即可拄拐下地行走,术后2周可脱拐负重行走。
1.4随访计划及临床疗效评估
术后2周门诊进行首次随访,术后3个月、6个月、12个月及以后每年随访一次。使用牛津膝关节评分(Oxford knee score,OKS)、美国特种外科医院评分(Hospital for Special Surgery knee score,HSS)和膝关节活动范围(range of motion,ROM)进行功能评估。患者满意度评估分为5级:失望、不满意、中立、满意及非常满意,依次记为0~4分。患者满意度=(非常满意膝关节数+满意膝关节数)/膝关节总数×100%。记录术后并发症发生情况,包括髌腱撕裂、髌骨骨折或撞击、伤口裂开或感染、深静脉血栓(deep vein thrombosis,DVT)、肺栓塞(pulmonary embolism,PE)、膝关节僵硬、内侧间室进展OA、垫片磨损、假体松动等。
1.5影像学评估
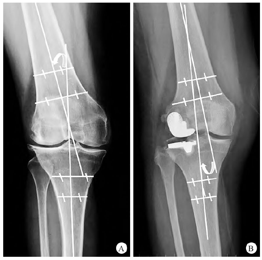
常规X线检查包括站立位正侧位、双膝站立位Rosenberg位和内外翻应力位X线检查。下肢力线评估通过股胫角(femor-tibialangle,FTA)在负重位X线片上测量整体下肢力线,以股骨和胫骨的解剖轴线的交角进行评估(图1)。UKA假体冠状位及矢状位力线评估需拍摄统一标准的X线片,即膝关节置于标准中立位:屈膝20°、下肢适度内旋、髌骨朝向正上方、不向内外倾斜。侧位X线片拍摄时放射片盒紧贴患膝外侧,与之平行,无任何旋转或内外翻。三维CT扫描评估假体旋转力线。具体方法参见图2。

图1 下肢力线评估测定股胫角 A. 股骨相对胫骨位置外翻记为+;B. 股骨相对胫骨位置内翻记为−。

图2 UKA假体力线测量方法示意
A.冠状位假体力线(a为股骨侧,+为外翻,−为内翻,c为胫骨侧,AA为解剖轴,MA为机械轴);B.矢状位假体力线(b为股骨侧,+为后倾,−为前倾,d为胫骨侧);C.假体旋转力线(e为股骨内外上髁连线,f为外侧后髁股骨假体力线,e、f夹角为股骨假体旋转角,−为内旋,指f线相对于e线内旋,+为外旋,指f线相对于e线外旋,g为胫骨平台后缘切线,h为胫骨平台前后轴,i为胫骨假体的外侧缘,h、i夹角为胫骨假体旋转角,−为内旋,指i线相对于h线内旋,+为外旋,指i线相对于h线外旋)。
2、结果
2.1手术一般情况
本组患者均采用髌旁外侧切口,切口长度6.5~9.0cm,平均(7.6±0.5)cm。手术时间45~102min,平均(73.7±10.6)min。术后切口均一期愈合。
2.2 术后功能评分、患者满意度及力线矫正
所有患者均获得随访,随访时间42~99个月,平均(63.9±15.3)个月,其中随访时间≥5年合计106膝,随访时间<5年合计80膝。
末次随访时,所有患者的OKS评分、HSS评分及膝关节ROM均较术前显著改善,且差异均有统计学意义(P<0.001)。患者满意度为94.1%。术后患者的下肢力线外翻较术前获得明显的矫正,且差异有统计学意义(P<0.001)。见表1。

2.3术后外侧单髁假体参数
末次随访时,X线及三维CT复查显示股骨假体外翻(0.9±4.7)°,后倾(30.4±9.2)°,内旋(−5.8±3.7)°。胫骨假体厚度(9.8±1.2)mm,内翻(−0.8±3.7)°,后倾(7.4±3.5)°,外旋(0.3±4.0)°。见表2。

2.4 并发症及生存率
随访期间共有11膝(5.9%)发生并发症,初次诊断均为原发OA,胫骨假体类型均为金属底托-聚乙烯,详见表3。共计4膝(2.2%)再次手术。其中1膝术后下蹲时发生髌骨外侧筋膜撕裂,予以清创加强缝合,减少蹲起动作,伤口愈合;1膝术后膝关节僵硬,在蛛网膜下腔麻醉下手法松解,配合康复训练,恢复正常;1膝迟发性感染,手术彻底清创,含庆大霉素的生理盐水持续冲洗,万古霉素静脉滴注2周,口服抗生素3个月后感染完全控制;1膝患者发生膝关节内侧间室进展OA,采用UKA治疗,术后功能恢复满意(典型病例,图3)。其余7膝中有3膝患者在上下楼或下蹲过程发生髌骨弹响,无明显疼痛,嘱其减少类似活动。1膝患者发生内侧进展OA,仅轻度疼痛,采用消炎镇痛对症及理疗等治疗,日常行走无明显受限。1膝发生下肢DVT(肌间静脉血栓),采用抗凝治疗,3个月后超声检查复查血栓消失。1膝浅表伤口感染,采用抗生素抗炎治疗2周,感染得到完全控制。1膝膝前痛患者采用消炎镇痛药口服及理疗,疼痛明显改善,功能恢复良好。


图3 患者,女,64岁,右膝关节外侧间室OA进行UKA,术后30个月右膝关节内侧间室进展OA,K-L 4级,采用UKA进行翻修
A. 第一次入院术中右膝关节外翻应力位透视显示外侧间隙完全消失,K-L 4级;B. 术中透视外侧假体位置良好,无松动,内侧间隙正常;C. UKA 术后30个月内侧间室进展OA,关节间隙明显狭窄;D. 第二次入院内侧间室进展OA采用UKA治疗,术后3个月右膝关节正位X线片显示股胫假体位置满意,内侧间隙恢复正常,股胫力线内翻矫正;E~G. 第二次术后3个月外侧髌旁手术直切口(长9 cm),内侧陈旧手术切口(长7 cm),两切口均愈合好;下肢完全伸直,无屈曲畸形;膝关节屈曲活动恢复满意,最大可至120°。
Kaplan-Meier生存分析结果显示,以任何原因导致再次手术为终点事件,5年假体生存率为97.8%[95%置信区间(95%confidence interval,95%CI):95.4%~98.7%];以假体置换翻修导致再次手术为终点事件,5年假体生存率为99.1%(95%CI:97.9%~99.4%)。
3、讨论
从设计的理念来说,外侧UKA相比TKA具有显著的优势,对膝关节外侧单间室病变是非常有效的治疗方法,但临床实践中外侧UKA的开展明显滞后,占所有膝关节置换术的1%,仅相当于内侧UKA的10%。同济大学附属杨浦医院自2006年初开展UKA以来,累计开展超过3000例,而外侧UKA不超过10%。根据本课题组的临床经验认为,早中期外侧间室膝OA容易漏诊。与内侧膝OA病理机制不同,外侧膝OA股骨侧磨损以后髁为主,胫骨侧磨损以平台中央偏后方为主,因而,门诊筛查时推荐膝关节屈曲45°Rosenberg位X线片能够更好地发现这一典型病变。对于不明确的病例,可以施加外翻应力以进一步明确。
有研究表明,外侧UKA的疗效明显不如内侧UKA,翻修率更高,一度被认为是一种临时性手术。膝关节不同间室之间的力线和载荷差异导致翻修原因存在差异,提示区分内外侧UKA结果的重要性。对侧间室膝OA进展、力线不良、不稳定和垫片脱位是外侧UKA最常见的翻修适应证。近年来,假体设计获得了显著的进步,包括非骨水泥组件和新一代垫片设计等,旨在解决老一代假体相关的问题,特别是垫片脱位和无菌性松动。机器人辅助下提高假体力线的精准度也是现代UKA发展的方向。虽然外侧UKA的研究仍然很少,但最新的研究成果令人振奋。Piovan等报道了外侧UKA治疗29例膝外翻合并外侧间室膝OA患者,经过至少2年的随访,所有患者的OKS评分和膝关节损伤和骨关节炎预后评分(knee injury and osteoarthritis outcome score,KOOS)显著改善,无一例患者接受翻修或其他手术治疗。Bonanzinga等的一项系统综述表明,外侧UKA是治疗外侧间室膝OA的有效解决方案,至少60个月随访的假体生存率和患者满意度可与内侧UKA和TKA相媲美。Deroche等在一项多中心回顾性研究中纳入268例外侧UKA患者,平均随访9.1年(5~23年),10年假体生存率为85.4%,20年假体生存率为79.4%,患者满意度高达94.3%。国内关于这方面的研究起步较晚,有必要进一步积累数据为更好地开展此项技术提供参考和指导。本课题组前期研究报道了15例(15膝)进行外侧UKA的患者,平均随访32.5个月,疗效满意。本研究在前期研究的基础上进一步扩大样本,新增病例合计182例(186膝),在最长达8年的随访中患者满意度高,5年假体生存率99.1%,这与Edmiston等和Plancher等的研究结果一致。
鉴于膝关节外侧间室在病理解剖和生物力学等方面的特殊性,手术技术细节的把握对外侧UKA的成功非常重要。①由于外侧韧带比内侧韧带更加松弛,膝关节屈曲时外侧髁比内侧髁的运动更靠后,存在移动垫片脱位的风险,推荐使用固定垫片假体。②切口建议采用经典髌旁外侧入路,皮肤和关节囊错层切开,即皮肤切口位于髌骨中外1/3,关节囊切口位于髌旁0.5cm处,避免在同一平面导致切口并发症。③外侧间室膝OA常合并外侧髁发育偏小,胫骨截骨尽量保守,同时避免胫骨后倾过大,推荐3°~5°。考虑到膝关节独特的锁定(screw-home)机制,胫骨垂直截骨时内旋10°~15°,以防止股骨假体与胫骨棘突撞击,并防止边缘载荷。④在屈曲90°位放置股骨假体与胫骨假体保持垂直中立位,或者适度外旋位,避免顺应股骨外髁解剖轴内旋放置,否则可能导致伸膝过程中股骨假体和胫骨外棘突发生的“胫骨棘撞击”。⑤膝关节外侧间室股骨髁与胫骨平台解剖中心不对称,因而术中股骨假体尽可能偏外放置,胫骨假体尽量选用大一号尺寸。⑥膝关节外侧间室的屈曲间隙较伸直间隙松弛2mm,因而股胫假体放置后在屈曲间隙保持轻微的松弛度,避免矫枉过正导致下肢力线外翻,膝关节内侧间室退变加速,推荐维持3°~7°外翻。
4、结论
采用固定平台单髁假体实施外侧UKA是一种微创、有效的手术方式,中期临床结果令人满意,假体生存率高。严格筛选患者、熟悉膝关节外侧间室独特的相关理论及熟练掌握手术要点对于手术的成功开展至关重要。



京公网安备11010502051256号