全面掌握髋关节撞击综合征的诊断与治疗
2022-08-31 文章来源:中日友好医院 作者:陈星佐 我要说
一、髋关节撞击综合征,运动医学里的“新病种”
髋关节撞击综合征,又名股骨髋臼撞击综合征,是指髋臼与股骨之间因为发育、外伤、增生等多种原因导致的关节之间不匹配,在髋关节活动时髋臼与股骨存在异常的摩擦与碰撞,进而导致关节内的软组织如盂唇、关节软骨等发生损伤的一类疾病。
髋关节撞击综合征由瑞士国际髋关节大师Ganz医生首先提出,Ganz在临床大量的人工髋关节置换手术中发现,并非所有人的髋关节长的都是一模一样,有些人的髋关节髋臼、股骨头颈结合区常常会有异常的骨性凸起,而这些骨性的凸起,还会导致髋臼和股骨头颈结合区发生撞击。
这一发现引起了Ganz的兴趣,他大胆推测,门诊中曾接诊的大量年轻的患有髋关节骨性关节炎的患者,是否因为这些“异常的骨性凸起和撞击”引起的?
随后,Ganz和他的团队,针对这一问题进行了系统的研究,并对相关患者进行了一系列的临床跟踪与随访。最终,研究结果证实了Ganz的猜想,异常的骨性的凸起,造成股骨与髋臼之间的撞击,进而引发了髋关节的盂唇损伤和骨性关节炎。这一发现,直到2003年,Ganz和他的团队在经典骨科学术杂志CORR上将研究结果发表之后,才逐渐开始被世人所了解。从2003年到现在还不到20年,对于一个疾病来说,这还算是一个“新病种”。近年来,随着髋关节镜技术的日趋成熟,这个“新病种”也被越来越多的骨科医生所了解。
二、髋关节撞击综合征的分型
举个通俗的例子来说,髋关节撞击综合征的发生其实源于 “髋臼、股骨头、盂唇”这“一家人”关系出了问题。一个幸福的家庭应该是:妈妈被宠爱,爸爸被尊重,孩子被接纳。一个健康的髋关节也应该如此。
髋关节由髋臼、股骨头构成了一个“杵臼”关节,髋臼就好比是髋关节这个小家庭中的妈妈,股骨头好比是爸爸,在他们之间,就是他们的孩子盂唇,盂唇生长于髋臼的边缘,由软骨构成,就像小孩子一样脆弱,非常容易受到损伤。同时,盂唇对于髋关节又起到密封和加深覆盖的作用,让髋关节这个小家庭更加稳定。

图1 摘自冯华,姜春岩。实用骨科运动损伤临床诊断[M]。人民军医出版社,2010。
正常情况下,髋臼和股骨头的匹配度非常高,在髋关节做屈伸、收展、旋转及环转运动时,髋关节非常稳定,并且髋臼、股骨头、盂唇都相安无事。而不健康的髋关节,因为各种关节异常的存在,无论是妈妈过强还是爸爸过强,都会出现种种“家庭不幸”。根据引起撞击部位的不同,可以将髋关节撞击综合征分为以下三种类型:钳夹型撞击、凸轮型撞击以及混合型撞击。
1.母强型家庭 (钳夹型撞击即pincer撞击)
这一类型的髋关节,因为髋臼发育过深,对股骨头的覆盖过度。这种撞击的原因是由于髋臼的异常所导致,常表现为髋臼发育过深或髋臼后倾,当髋关节屈曲时可与股骨头颈结合区发生撞击。因为髋臼妈妈过于强势,对股骨头爸爸管得太严,在髋臼的前缘增生出很多异常的骨性凸起,所以髋关节做屈髋动作时,经常发生撞击。

图2 摘自冯华,姜春岩。实用骨科运动损伤临床诊断[M]。人民军医出版社,2010。
2.父强型家庭(凸轮型撞击即cam撞击)
这一类型的髋关节,是因为股骨头爸爸表现得“棱角”过多,在股骨头颈结合区增生出很多异常的骨性凸起。这种撞击的原因是因为股骨头颈结合区存在异常的骨性凸起,使其成为凸轮样的非球面体,在髋关节屈曲时凸轮部位撞击髋臼边缘引起症状。

图3 摘自冯华,姜春岩。实用骨科运动损伤临床诊断[M]。人民军医出版社,2010。
3.夫妻双方都强的家庭(混合型撞击即pincer+cam撞击)
这种畸形占所有髋关节撞击征患者的大多数,约为60-70%, 在这种畸形中,髋臼和股骨头都有问题,一个管的过严,一个“棱角”太多,所以在髋关节活动时就会经常出现不和谐的撞击。
家庭不幸,首先受到伤害的就是孩子。处在髋关节这个小家庭中的盂唇也是如此。髋关节盂唇是附着于髋臼边缘的一层软组织结构,盂唇本身是有由大量的环形纤维组成,其形态与外观和膝关节的半月板类似。除了外形上,髋关节盂唇在功能上也与半月板有几分相似:首先可以增加髋臼的表面积和体积,起到加深覆盖的作用,这样髋关节可变得更加稳定;其次可以为髋关节提供负压,类似于保温杯上的“密封圈”,有了髋关节盂唇的覆盖,可以保持髋关节内的负压吸引,并保持髋关节液留在关节腔内,从而发挥其滋养髋关节表面软骨,均衡关节内应力的作用;最后,盂唇在维持关节液的平衡方面也有着重要的作用。因为处在髋臼和股骨头的中间,而且比较脆弱,当存在髋关节撞击的时候,一般首先损伤的就是盂唇。盂唇损伤在髋关节撞击综合征的患者中非常常见。

图4 髋关节镜术中图片,可见明显盂唇撕裂伴充血

图5 摘自冯华,姜春岩。实用骨科运动损伤临床诊断[M]。人民军医出版社,2010。
三、髋关节撞击综合征的表现
通常髋关节撞击综合征的病人,很少有非常剧烈的疼痛,多数患者会在进行一些特定动作,如下蹲、弯腰、高抬腿时,会感觉髋部深方存在有一种莫名的疼痛感,多以酸胀、憋闷的感觉为主。
髋关节撞击征引发的疼痛多为髋关节慢性疼痛,部分患者可存在活动受限。疼痛性质多为隐痛及关节酸胀感,部位以腹股沟区、大转子区及臀后区最为多见。疼痛部位一般集中在髋关节外侧的大转子区域,将手摆成“C”形卡在髋关节位置,整个“C”字所波及的区域就是髋关节撞击综合征所引发疼痛最常见的区域,临床上也称为“C字征”。也有部分病人可表现为膝关节、腰背部及骶髂关节区域疼痛,但几乎不会波及膝关节以下及腰部以上。长时间行走、下蹲、抬腿、久坐后起立、剧烈运动时可出现症状的加重或复发。当存在大范围盂唇撕裂的时候,撕裂的盂唇组织可能会卡压于髋关节内部,造成关节的锁死感,临床上称之为“死腿征”。
四、髋关节撞击综合征的鉴别诊断
临床上,这种因为髋关节疼痛就诊却找不到明确病因的患者并不在少数,其中很多人被按照髋关节滑膜炎、股骨头坏死、甚至于腰椎间盘突出症进行治疗。那么这几个疾病与髋关节撞击综合征又该如何鉴别呢?
1.髋关节滑膜炎:根据髋关节滑膜炎发生的原因不同,可以将髋关节滑膜炎分为原发性髋关节滑膜炎和继发性髋关节滑膜炎。原发性髋关节滑膜炎是指髋关节内的滑膜本身发生了病变,常见疾病包括色素沉着绒毛结节性滑膜炎、滑膜软骨瘤病等,这类疾病相对较为少见。多数髋关节滑膜炎都是继发性髋关节滑膜炎,是指髋关节内的滑膜由于外伤、感染、撞击等引起髋关节内的滑膜增生而引起的一类疾病。对于继发性髋关节滑膜炎,都是由于关节发生了其他的问题所导致的,这种滑膜炎是其他疾病所产生的结果,而并不是原因。所以,对于继发性髋关节滑膜炎并不需要进行特殊治疗,需要处理的是引起滑膜炎的原发疾病,而髋关节撞击综合征就是其中之一。
2.股骨头坏死:股骨头坏死是指由于骨折、长期使用激素、酗酒等原因导致股骨头的血供减少,进一步引起股骨头骨质发生缺血性坏死的一类疾病。从疾病介绍来看,股骨头坏死一般是会有一个致病原因的,既往股骨颈骨折病史是其中的一大类,有长期口服激素或者酗酒病史的则是另一大类,一般通过核磁共振检查,就可以明确诊断。
3.腰椎间盘突出症:典型腰椎间盘突出症的症状是坐骨神经疼痛,即整个下肢一直到脚的麻痛,单纯的腰背痛更常见的是由于腰背肌、骶髂关节、亦或髋关节内部的问题所引起。一般通过腰椎核磁共振或者腰椎CT就可以明确是否存在腰椎间盘突出的问题了。
五、髋关节撞击综合征的诊断
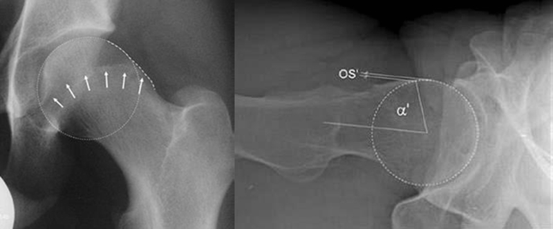
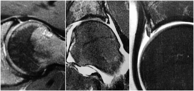
对于髋关节撞击综合征的诊断,不同于髋关节骨性关节炎或者股骨头坏死的患者,不能仅仅通过普通的X光片和双髋关节核磁共振就能确诊,因为造成髋关节撞击综合征的异常骨性凸起通常位于髋臼或者股骨头颈结合区的前外侧,所以临床上常规的髋关节正侧位片上,这个骨性异常的区域恰恰被遮挡了起来,在X光片上成了重叠的影像。在诊断髋关节撞击综合征,会采用一些特殊的影像拍摄方法。对于X光的选择,推荐进行骨盆正位相联合蛙式侧位或Dunn位像。对于盂唇损伤的诊断主要依赖于核磁共振检查,由于双髋关节核磁共振放大率以及扫描方向的问题,不足以判断盂唇的状态,一般需要进行单髋关节核磁共振扫描。

图6 摘自Tannast M, Siebenrock KA, Anderson SE. Femoroacetabular impingement: radiographic diagnosis-what the radiologist should know[J]. Am J Roentgenol, 2007,188(6):1540-1552

图7 摘自Stoller DW. Magnteic Resonance Imaging In Orthopaedics And Sports Medicine[M]. 3rd Edition, 2007
六、髋关节撞击综合征的治疗
目前针对髋关节撞击综合征,主要分为保守治疗和髋关节镜微创手术治疗两种方式。
对于临床症状较轻,多数只是片子偶尔发现问题的患者,此时多数情况并不需要过多的临床干预。对于一部分拍片时都存在问题,甚至片子上较轻的一侧症状会更重的患者,此时建议推荐对疼痛、绞索等症状更重的一侧进行治疗。一部分做完一侧手术的患者,也会问及是否需要针对另一侧进行预防性手术,如果对侧髋关节完全没有或者只有轻微的临床症状,只是片子上能看到一些异常表现,这种预防性的治疗也是完全不推荐的。
保守治疗:
主要适用于临床症状相对较轻,发病时间较短(不超过6个月),未出现临床上绞索症状,且未经过规范保守治疗的患者。
主要措施有尽可能的避免做引起撞击综合征疼痛的动作,并减少对于盂唇组织的刺激动作。减少超过90°的屈曲髋关节的动作,比如长时间伏案工作、蹲在地里面干农活、开长途车、坐又软又矮的沙发、健身房练腿部肌肉等。对组织的刺激减少了,临床症状自然会得到一定程度上的缓解。
在髋关节屈曲动作的基础上,如果再加上内旋的动作,对于盂唇的刺激会加倍增大,这也是临床上判断是否存在髋关节撞击综合征的一个常用检查,称为前方撞击试验。
除了生活方式的改变外,可以通过口服非甾类消炎止痛药或者一些外用药物来减轻疼痛症状。物理康复治疗是另一个较为有效的治疗手段。通过手法牵拉调整,结合超短波、微波等仪器辅助治疗,可以有效减轻关节炎症,促进关节内积液吸收,缓解临床症状。而且,对于存在髋关节撞击综合征的患者,往往在骨盆、腰椎区域也存在一定的病理基础比如骨盆过度前倾、骨盆倾斜等,也可以通过康复手段通过不同肌肉群的肌力平衡调整训练来缓解患者症状。此外,中医治疗也可以作为保守治疗的一种尝试手段。
保守治疗对于髋关节撞击较轻、盂唇撕裂范围较小的患者成功率相对更高。不过,保守治疗既不能解决骨性异常的问题,也不能让已经撕裂的盂唇组织愈合,仅能在一定程度上缓解患者疼痛的症状。所以对于骨性异常较重或者盂唇撕裂范围较大的患者,即使短期内保守治疗成功,随后疾病也可能会复发,对于这一部分患者通常需要通过髋关节镜微创手术治疗才能取得较为满意的临床效果。
手术治疗:
主要适用于经过3-6月规范保守治疗而效果欠佳的患者,对于骨性异常较重、盂唇撕裂范围较大或临床症状较重的患者则可以根据患者情况适当提前手术时间。同时患者的心理状态也是医生是否会建议手术的影响因素之一,过度焦虑在一定程度上会影响患者的预后。对于这部分患者来讲,要进行特定的心理疏导,减缓焦虑情绪对于改善预后有着至关重要的作用。

图8 术中
手术方式的选择上目前主流上均通过髋关节镜微创手术进行治疗。通过2-4个长度约0.5cm长的手术切口即可完成全部手术过程。
髋关节镜手术解决的问题包括:
1.解决骨性异常问题:作为引起髋关节撞击综合征的主要原因,解决髋臼和头颈结合区的异常骨性凸起是髋关节镜的重要步骤。在关节镜下,将异常凸出的骨质磨削。手术解决pincer或cam畸形,通常是一件“一劳永逸”的工作,将髋关节的骨性结构成型后,髋关节的撞击症状也随之解除,而pincer和cam畸形通常情况下不会复发。

图9 Cam型撞击,通过磨钻磨除
2.盂唇损伤的治疗:盂唇损伤广泛存在于髋关节撞击综合征中。对于存在修复条件的盂唇损伤,目前推荐行盂唇修复术;而对于盂唇严重磨损无法修复或横断的情况,则可考虑行盂唇清理、盂唇部分修复或盂唇重建术。手术原则是对损伤的髋臼盂唇尽量予以缝合修复,恢复髋臼盂唇的解剖结构,从而恢复髋臼盂唇的功能,避免由于髋臼盂唇缺损造成的髋关节退变。


图10 髋关节盂唇损伤及修复
3.软骨损伤的处理:髋关节撞击综合征患者除了常常导致髋关节盂唇的损伤之外,还常常造成髋关节软骨的损伤,而且髋关节软骨损伤的部位也常常发生在髋臼的前方。目前对于任一关节的软骨损伤治疗都是难点,对于髋关节这样的负重关节更是如此。对于怀疑存在软骨损伤患者,则应早期进行手术治疗,尽可能避免髋关节退变的结局。

图11 撞击导致软骨损伤
六、术后康复
随着髋关节镜处理疾病的多样化及复杂化,髋关节镜术后康复越来越被重视,规范的术后康复有助于帮助患者髋关节功能提升,增加患者满意度,对患者病情恢复至关重要。
髋关节连接着躯干和下肢,有着非常复杂的生物力学环境,除了术中操作对于术后康复的影响外,腰椎病变、核心肌群力量及平衡、骨盆倾斜角、骶髂关节情况等都对髋关节的生物力学环境存在或多或少的影响,因此髋关节镜术后康复绝不仅仅局限于髋关节的康复练习,这也对术后康复方案的制定提出了更高的要求。因此,手术团队与康复团队之间频繁且有效的沟通对于髋关节镜术后患者的恢复是非常有益的,手术医生可以在术中操作及患者髋关节所处的整体生物力学环境下给出对于康复医生及理疗师的建议,帮助制定对于患者的个体化康复方案,避免对手术造成不利影响。
通过有效的康复手段,我们希望可以达到的目标包括减轻甚至消除关节周围组织炎症、延缓肌肉萎缩恢复关节力量、以及恢复关节主、被动的全范围活动,使患者可以达到步态正常、提高关节功能并能恢复日常的娱乐项目如足球、篮球等,对于运动员则希望可以帮助其重返赛场。通过有效的康复治疗,多数患者都可以重返正常的日常生活及体育活动。
病例,王X,女,32岁,反复活动后髋关节疼痛6月余,休息能缓解,诊断为髋关节撞击综合征合并盂唇损伤,规律保守治疗后无效,行髋关节镜下手术。

图12 术中
参考文献:
1. Ganz R, Parvizi J, Beck M, Leunig M, Motzli H, Siebenrock KA. Femoroacetabular impingement: a cause for osteoarthritis of the hip[J]. Clin Orthop Relat Res 2003:417:112-120.
2. Martin HD, Gomez-Hoyos J. 髋关节后方紊乱-临床评估与治疗[M]。李春宝,徐雁,程徽,张晋主译。辽宁科学技术出版社,2020.
3. 冯华,姜春岩。实用骨科运动损伤临床诊断[M]。人民军医出版社,2010。
4. Ayeni OR, Karlsson J, Philippon MJ, Safran MR. 股髋撞击综合征的诊断与治疗[M]。潘海乐,贾学文,李春龙,解云川,史博主译。辽宁科学技术出版社,2019.
5. Tannast M, Siebenrock KA, Anderson SE. Femoroacetabular impingement: radiographic diagnosis-what the radiologist should know[J]. Am J Roentgenol, 2007,188(6):1540-1552
6. Stoller DW. Magnteic Resonance Imaging In Orthopaedics And Sports Medicine[M]. 3rd Edition, 2007
作者简介

陈星佐,副主任医师,医学博士,中日友好医院骨科。
社会任职:中国体育科学学会运动医学分会青年创伤委员会秘书兼委员;中国医师协会运动医学医师分会健康科普专业学组委员;中国医师协会骨科医师分会小儿骨科专业委员会运动医学学组委员;中国康复医学会骨伤康复专业委员会运动损伤学组委员;中国医师协会骨科医师分会青年委员会膝关节学组委员;北京医学会运动医学分会委员;北京医学会肩肘医学分会委员;北京康复医学会骨科康复专业委员会委员;中国田径协会运动健康专家智库特聘专家;中国医学救援协会运动伤害分会关节运动伤害学组委员;中华医学会运动医疗分会上肢学组青年委员会委员;北京天星全国中青年讲师团秘书兼团员;中国肘关节俱乐部初始成员;亚洲髋关节镜与保髋协会会员;北京市医院管理局“登峰”计划专项经费资助(北京积水潭医院姜春岩主任课题)院外专家;运动医学专业英文杂志《Current Sports Medicine,Arthroscopy and Rehibilitation》编委。
毕业于北京大学医学部临床医学8年制专业,博士期间师从于已故国际知名膝关节镜专家北京积水潭医院运动损伤科主任冯华教授学习运动创伤类疾病的诊治及关节镜微创技术。毕业后于中日友好医院骨科工作至今。目前已独立主刀完成关节镜手术超过2000例。曾赴台湾秀传医院行关节镜专业培训。多次在国内、外大会发言,并多次担任会议翻译工作。国内、外骨科专业杂志共发表论文、综述等30余篇。以第一作者或通讯作者身份发表共17篇,其中7篇被SCI杂志收录,其中多篇被国际知名运动医学杂志《Arthroscopy: the journal of arthroscopic and related surgery》《Orthopaedic Journal of Sports Medicine》收录。参与教材《训练医学》的编写工作,参与包括《髋部疾病的内镜治疗》《全民健身》等多本书籍的编写工作,参与包括《髋后疾病诊疗》《髋关节重建》等近十本英文原著书籍的翻译工作。主持院级课题一项,参与多项国自然及省部级课题。



京公网安备11010502051256号