肘关节镜的适应证、技术、疗效和并发症知多少?
2022-08-30 我要说
来源:北京积水潭医院 查晔军 孙伟桐
原文:Adams JE, King GJ, Steinmann SP, Cohen MS. Elbow arthroscopy: indications, techniques, outcomes, and complications. J Am Acad Orthop Surg. 2014 Dec;22(12):810-8. doi: 10.5435/JAAOS-22-12-810. PMID: 25425616.
肘关节镜是治疗肘关节疾病的有力工具。近年来,随着骨科医生对肘部解剖和肘关节镜技术熟悉程度的提高,该手术的适应证被逐步扩大。尽管如此,肘关节镜手术仍然是具有一定局限性和风险性的技术,认识到这些局限性和风险性有助于骨科医生更好地将肘关节镜应用到临床实践中去。
适应证
肘关节镜的适应证包括化脓性肘关节炎清创、炎性关节炎滑膜切除、骨性关节炎清创、游离体取出、关节挛缩松解、骨软骨缺损和特定骨折或不稳定的治疗、网球肘松解以及肘部疾病的诊断。
禁忌证
由于神经血管结构靠近手术入路和工作区域,肘关节镜手术中神经血管损伤的风险高于其他关节镜。进行肘关节镜手术的骨科医生最好经历过关节镜训练或有其他关节的关节镜手术经验。
对于某些患者,既往肘部手术史是肘关节镜手术的相对禁忌证。如果可以确认尺神经的位置,既往尺神经皮下移位并非绝对禁忌证。然而,既往肌下或肌内尺神经移位通常被认为是禁忌证。
某些情况在肘关节镜下无法充分解决,而开放手术可能会更好地解决该问题,例如表现为全活动范围疼痛、累及较为广泛的肘关节炎。
手术技术
麻醉方式可为局麻或全身麻醉,手术体位可采取仰卧位、俯卧位或侧卧位。采用侧卧位时,患者身下可垫充气袋,腋窝处可垫腋卷,术侧上臂放置在臂架上,避免触碰肘窝(图1)。注意避免臂丛神经受到压迫或牵拉。可以使用止血带。

图1 侧卧位
可使用标准膝关节镜器械,如30°4.5毫米关节镜。实心非环形鞘管十分有用,因为环形鞘管允许液体从关节囊和工作区域溢出到软组织中。在手术过程中使用标准的关节镜咬合器、把持器、磨钻和刨刀。通常不使用负压刨刀,因为即使关闭负压,刨刀管中仍然存在一定负压。可按需使用牵开器。
入路
标准肘关节镜入路包括前外侧入路、前内侧入路、后外侧入路和直接后方入路。
辅助入路包括软点入路(即直接外侧入路)、远端尺骨入路和关节前方外侧、内侧辅助牵拉入路(图2和3)。
在手术开始前标记入路、骨和软组织标志,包括肱桡关节、内外上髁、肌间隔和鹰嘴,液体流出会影响这些结构的触诊。标记尺神经的位置,并注意尺神经半脱位。
止血带充气至200至250毫米汞柱。使用18号针头,通过直接外侧入路或第一个建立的入路向关节注入25至30mL盐水。确认入路进入关节的方法是注入盐水时肘部轻微伸展。建立入路的顺序取决于医生的偏好、经验和要处理的疾病。

图2 肘关节镜入路外侧观:DP:直接后方入路;PL:后外侧入路;pAL:近端前外侧入路;AL:前外侧入路

图3 肘关节镜入路内侧观:UN:尺神经;ME:内上髁;AM:前内侧入路;DP:直接后方入路;PL:后外侧入路
前外侧入路
前外侧入路位于肱桡关节的正前方。建立入路时越向近端越安全,这样可远离骨间后神经。前外侧入路与神经血管结构的安全距离最小。因此,应该首先建立这个入路,以免液体外渗和关节囊膨胀降低解剖标志触诊的准确性。
前内侧入路
前内侧入路位于内上髁前方1-2cm、远端1-2cm,入路穿过屈肌-旋前肌肌腹,距离神经血管结构较远。可通过“由内而外”技术建立入路,通过前外侧入路关节镜的观察和触诊确定合适的入路位置。
前方辅助入路
辅助入路一般位于前方以便于牵拉。前内侧辅助入路位于髁上嵴和肌间隔的前方,内上髁上方2cm。前外侧辅助入路位于髁上嵴前方,外上髁上方2cm。
软点入路(直接外侧入路)
该入路适合处理骨软骨缺损,位于鹰嘴尖、外上髁和桡骨头组成三角形的中心,由肘肌覆盖。
远端尺骨入路
远端尺骨入路适合观察肱骨小头,特别是用于治疗骨软骨缺损(图4)。远端尺骨入路起于肱桡关节远端3-4 cm的皮肤,将钝的套管针和套管沿尺骨的外侧缘向近端引导进入关节。

图4 远端尺骨入路:关节镜位于远端尺骨入路,刨刀位于软点入路
直接后方入路
直接后方入路位于鹰嘴近端2-3cm处。由于该入路穿过厚实的肱三头肌,需要在皮肤和肱三头肌上做切口。由于这是潜在的间隙,所以需要去除鹰嘴后方脂肪和滑膜来创造空间,以便观察关节后方。可将刨刀放置在鹰嘴窝处盲刨,但应注意避免将刨刀朝向尺神经。
后外侧入路
创建工作空间后,后外侧入路主要用于可视化。这个入路几乎与后外侧体表鹰嘴的近端边缘齐平。只要注意到尺神经的位置,它就是相对安全的。
并发症
肘关节镜术后关节间隙感染不常见。然而,由于存在瘘管或关节持续引流的风险,建议使用缝合线,而不是单独使用薄胶条来关闭伤口。
尽管肘关节镜术后异位骨化比开放手术更少,但这种并发症确实会发生。异位骨化预防的作用、剂量和依从性尚不确定。
已发表的文献显示肘关节镜可造成肘部周围所有主要神经的损伤。文献报道在473例肘关节镜手术中,尺神经最常受累,其次是桡神经浅支、骨间后神经、骨间前神经和前臂内侧皮神经。神经损伤在类风湿性关节炎(关节囊变薄或缺失)、严重的术前关节囊挛缩和解剖结构变异患者中更常见。
炎性关节炎滑膜切除术
滑膜切除术是处理药物治疗无效的肘部炎性关节炎的有效方法。传统滑膜切除术是通过开放性手术进行的,而关节镜滑膜切除术因其微创特性而越来越受欢迎。
相较其他肘关节镜手术,由于患者解剖结构变形和保护神经血管结构的关节囊薄弱,类风湿性关节炎滑膜切除术神经损伤风险更高。
病史和体格检查
持续性滑膜炎临床表现主要为疼痛、肿胀和僵硬。体格检查通常可发现后外侧波动性肿胀,这是滑膜炎和积液的结果。记录活动范围,评估活动终点软硬程度。软性终点提示滑膜炎或关节囊挛缩,而硬性终点提示骨撞击。旋转活动受限可能是桡骨头畸形或下尺桡关节疾病的结果。记录骨间后神经和尺神经功能,因为这些神经可能被滑膜炎压迫。定位尺神经并评估其是否半脱位以降低损伤风险。
影像学
平片上关节破坏程度可预测类风湿性关节炎滑膜切除术的疗效。
在Mayo Clinic分级中,I级:没有骨性变化;Ⅱ级:关节间隙变窄,结构正常;III级:软骨下骨损伤,如鹰嘴变薄或肱骨滑车、小头吸收;IV级:严重关节破坏;V级:关节强直。
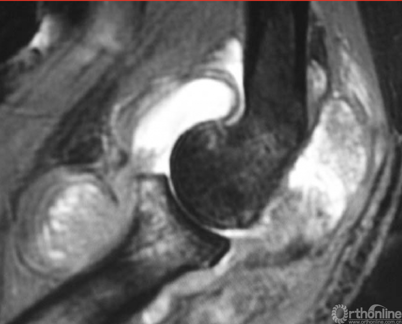
CT可用于评估骨性结构改变。MRI显示滑膜炎的范围(图5)和未骨化游离体。

图5 类风湿性关节炎肘关节MRI
适应证和禁忌证
类风湿性关节炎是肘关节镜下滑膜切除术最常见的适应证,适合药物治疗后仍存在持续性疼痛的滑膜炎。肘关节镜滑膜切除术更适合存在部分关节软骨且仅有轻度骨畸形(即Mayo I级和II级)的患者,不适合肘关节置换术的晚期(如Mayo III级)年轻患者也可考虑该术式。
使用凝血因子置换疗法后仍反复肘关节积血的血友病患者也可考虑关节镜滑膜切除术。关节镜滑膜切除术也可用于银屑病关节炎和急性化脓性关节炎。
手术技术
完善手术准备后,使用非侵入性全桡骨切除器来保证关节囊的完整性(a nonaggressive full radius resector is used to preserve the integrity of the capsule),从而降低神经损伤的风险。根据需要使用牵开器牵开关节囊或肌肉增加视野。由于广泛的滑膜炎可导致初始视野不佳,因此在确认器械进入关节囊内之前不要打开刨刀。在保留关节囊完整性同时去除滑膜(图6)。
在炎性关节炎中,关节囊通常很薄,容易无意中穿透或切除,从而降低安全性。去除桡骨头前面的滑膜时要特别小心,因为该处靠近骨间后神经。处理尺神经附近的后内侧沟时也应保持谨慎。桡骨头通常应该保留。肘部稳定性好且桡骨头畸形阻碍旋转患者的桡骨头可切除。用磨钻或骨刀去除引起撞击的骨赘。如果患者希望改善活动范围且在滑膜切除术和骨赘清创术后关节仍僵硬,则松解或切除前和/或后关节囊。

图6 类风湿性关节炎典型镜下表现
术后管理
指导患者在术后48小时去除厚重的敷料,使用轻质敷料,10天后拆线。如果活动恢复缓慢,可开始物理治疗。切除关节囊的患者应在连续臂丛神经阻滞下进行早期主动和被动活动。严重僵硬患者可使用连续被动活动机(CPM机)以促进关节活动的恢复。使用夜间静态渐进式伸直夹板12周以保持伸直。
结果
目前缺乏关节镜滑膜切除术治疗类风湿性关节炎疗效的数据。关节镜滑膜切除术比开放性滑膜切除术创伤更小,可以加快恢复速度并减轻术后疼痛。肘关节镜使经验丰富的外科医生能够更好地观察肘部所有区域并解决关节内病变。
非随机研究表明,关节镜滑膜切除术与开放性滑膜切除术的疗效相当,治疗效果会随着时间的推移而恶化,保留关节软骨且没有明显骨质破坏的患者效果更好。关节镜滑膜切除术治疗血友病性关节病可降低复发性关节积血的频率。
关节镜滑膜切除术有神经损伤、复发性滑膜炎和持续性疼痛等并发症。关节镜滑膜切除术虽然技术要求高,但对于肘部滑膜炎患者来说是一种安全有效的治疗方法。结果取决于外科医生的关节镜经验、病程、严重程度以及疾病缓解药物的使用。
骨性关节炎清创术
肘部骨关节炎的关节镜治疗越来越普遍。尽管肘关节镜技术要求比其他关节更高,但其治疗骨关节炎的结果十分令人满意。
适应证
肘关节镜有助于改善患者肘关节伸直和屈曲活动范围末端明显的活动丧失。肘部骨关节炎患者主诉活动范围丧失比疼痛更多。疼痛通常仅在活动范围末端出现骨赘撞击时才会出现。患者一般不出现活动范围中部疼痛,因为肱尺关节软骨通常保留。
肱桡关节常出现明显的软骨缺损,但患者通常不会出现旋转疼痛。在这种情况下,骨关节炎患者应谨慎进行桡骨头切除术。广泛清创后,关节镜手术通常可以改善活动,但与开放松解术类似,它不能将肘部的活动范围恢复到正常。
对于仅轻微活动受限的患者,应进行非手术治疗。此外,全活动范围疼痛患者可能有广泛关节退变,这应采取其他手术解决,如关节表面置换。
术前检查和影像学
记录活动范围,评估主要周围神经情况。关注患者疼痛情况(全活动范围疼痛或活动范围末端疼痛),是否存在卡顿感(提示游离体)和尺神经症状。可尝试尺神经诱发试验。采用X线片评估关节炎总体情况。
CT(尤其是三维重建)有助于确定骨赘位置以制定手术计划。例如,如果大部分骨赘形成在后方,手术最好从鹰嘴窝开始,然后处理前方。
手术技术
在大多数患者中,一般先手术处理前方,因为这个位置通常有更多的骨赘。此外,桡神经靠工作区域最近,最好在关节镜液体引起关节肿胀之前完成前外侧清创。在前方,根据术前CT(图7)通过前内侧入路去除冠状突和桡骨头窝中的骨赘,同时从前外侧入路观察。可松解或切除关节囊。处理完关节内侧,将关节镜移动到关节内侧,去除外侧骨赘和游离体。切勿在桡神经和骨间后神经区域切除关节囊。应去除冠状突尖端和内侧骨赘。
处理完前方后,可采用后方入路。直接后方入路为放置刨刀或磨钻提供了极好的工作入口。最初观察肘关节后方通常很困难,需要用刨刀去除一部分脂肪。在清创过程中,刨刀应避开关节内侧,以防止伤及尺神经。在去除滑膜和脂肪后,通常从直接后方入路进行观察,后外侧入路进行操作。
在肘关节后方,除了鹰嘴尖常有明显的骨赘外,鹰嘴两侧也常有骨赘形成,难以处理,尤其在关节内侧,容易伤及尺神经。一般可用牵开器牵开尺神经加以保护。如果患者同时患有尺神经病变,可进行开放原位神经松解直接保护尺神经。在该区域使用磨钻可卷入软组织,应谨慎使用。在鹰嘴窝中,厚厚的骨赘通常将窝分成两部分,阻挡肘关节伸直,可通过后外侧入路使用磨钻去除这种常见的骨赘。

图7 三维CT确定骨赘范围
尺神经松解术
进行骨关节炎肘关节镜手术可能需要处理尺神经。在术前存在尺神经病变患者中,可在手术开始时做一个小切口进行尺神经原位松解。当存在轻度尺神经病变时,可以进行全关节镜下神经松解术。
对于术前屈曲不能超过90°的患者,建议行开放尺神经松解术。对于无症状患者是否行尺神经松解术尚无共识,但应注意尺神经松解术本身并非没有风险。
术后护理
手术后,用柔软敷料将上臂中部至腕部加压包扎。嘱患者休息,48小时后去除敷料。指导患者活动肘部,如果患者可屈伸至少45°,给予铰链静态支具以辅助伸展并保持术中获得的活动范围。
小部分患者会因疼痛无法活动肘部,可给予腋路臂丛神经阻滞,持续被动活动48小时。术后48小时,指导患者使用肘部进行所有日常生活活动。如果术后2-3周患者无法保持手术获得的活动范围,可在麻醉下进行轻柔推拿松解。
肘关节镜治疗骨关节炎是有效的。大多数研究表明活动和功能有所改善,然而应注意完全恢复活动范围是不可能的,尤其是完全伸直。同样,恢复旋转也比较困难。没有研究显示肘关节镜手术与开放手术相比具有优势。另外,神经损伤的风险无法消除,开放或关节镜手术均可发生神经血管并发症。
肱骨外上髁炎的关节镜治疗
桡侧腕短伸肌 (ECRB) 起点被认为是肱骨外上髁炎的病理来源,手术治疗常直接切除病理组织。
解剖学
对于关节镜治疗,了解肱骨外上髁伸肌腱起点的解剖十分重要。ECRB肌腱起点的位置可通过关节内标志确定。在肘部,桡侧腕长伸肌(ECRL) 覆盖ECRB的近端部分,因此必须向前掀起ECRL才能看到ECRB表面,一层疏松结缔组织将这两个结构分开。
ECRL在肱骨外侧髁上嵴的起点完全是肌性的,起点呈三角形,顶点指向近端。相比之下,ECRB的起点完全是腱性的。从远端到近端方向解剖时,ECRB与指总伸肌的起点融合,但可将其从指总伸肌分离回肱骨。ECRB的解剖起点位于外侧髁上嵴最远端尖部的正下方,形态为菱形,尺寸约为13mm×7mm(图8)。在肱桡关节水平,ECRB与前关节囊位置紧密,但在该水平很容易分离。

图8 ECRL与ECRB解剖模式图
手术技术
采用侧卧位,从前内侧入路开始手术可以显示关节外侧,使用由内向外的技术建立改良前外侧入路。该入路位于近端2-3cm外上髁前方,比标准的前外侧入路更靠近端。
采用该入路的目的是允许器械向下到达肌腱起点,而不是通过 ECRB 肌腱本身进入关节。去除外侧滑膜,然后松解外侧关节囊。偶尔会发现肱骨侧关节囊破裂。更常见的是,尽管可能存在小的线性撕裂,但关节囊是完整的。使用单极电极更容易分层松解外侧软组织。从肱骨切开或松解关节囊,当它向远端回缩时,ECRB肌腱可见于后方,而ECRL(主要为肌性)则更靠前。
如前所述,ECRB肌腱从肱骨小头顶部跨越到肱桡关节的中线。关节囊被充分切除后,将ECRB 起点从外上髁松解(图8和9),从肱骨小头顶部开始并向后松解。如果在肱桡关节中线以上进行松解,外侧副韧带则没有风险。
平均而言,ECRB的充分切除必须包括从前到后约13mm的全部肌腱起点。松解后,整个ECRB会远离肱骨向远端回缩。注意不要松解位于ECRB肌腱后面的伸肌腱膜,这种结构在镜下表现为横向(纵向)的肌腱和肌肉纤维,远不如ECRB明显,位于ECRL后方。如果腱膜受到侵犯,清创术将改变肘部外侧的皮下组织。

图9 前内侧入路显示充分的ECRB松解
结果
近年来,关节镜治疗外上髁炎逐渐增多。然而,不同研究报道的疗效有所不同,这可能是由于通过关节镜辨认ECRB起源的难度较高。在一项接受关节镜松解治疗的36名顽固性肱骨外上髁炎患者的研究中,患者平均需要4周才能恢复正常活动,7周才能恢复工作。
10名患者 (28%)在剧烈活动和反复使用患侧手臂时持续疼痛,2名患者(6%)继续有明显疼痛并被视为失败。关节镜下ECRB松解对非手术治疗无效的慢性外上髁炎有效。解剖学知识(包括从关节内观察伸肌腱起点的形态)对于手术疗效至关重要。



京公网安备11010502051256号