股骨颈骨折闭合复位固定流程
2022-08-11 文章来源:山西医科大学第二医院 作者:梁炳生 我要说
股骨颈骨折分型
目前临床上使用较多的股骨颈骨折分型为Graden和Pauwels分型。
1、股骨颈骨折Garden分型将股骨颈骨折按照骨折块移位程度分为4型:
Ⅰ型,不完全骨折或者外翻嵌插骨折;
Ⅱ型,完全性骨折,骨折无移位;
Ⅲ型,完全性骨折,骨折部分移位;
Ⅳ型,完全性骨折,骨折完全移位。
但事实上,在临床中很难将四种类型完全区分开来,所以一般在临床中基本按照骨折是否有移位进行骨折分型,即Ⅰ、Ⅱ型骨折为无移位股骨颈骨折,Ⅲ、Ⅳ型骨折为有移位股骨颈骨折。
2、Pauwels骨折分型基于骨折线和水平面交角大小:
Ⅰ型,<30度;
Ⅱ型,30-70度;
Ⅲ型,>70度。
随着角度增加,骨折的剪切力增大,骨折也趋向不稳定。
3、股骨颈骨折的OTA分型在临床实践中应用较少,主要用于研究中。
复位技术
1、患者平卧于手术床上,下肢牵引并外旋,(可以通过骨科牵引床进行牵引操作),以解除骨折断端的崁插短缩,然后内旋下肢15°,内收下肢40°-45°。
2、复位标准:C-B透视
正位:Shenton's线恢复;恢复股骨颈135°以上的颈干角,大粗隆尖端与股头中心在同一平面;骨折断端阳性支撑。
侧位:股干、颈、头的中心排成一条直线。
越近于解剖对位,骨折不愈合及股骨头缺血性坏死发生率越低。
3、如果复位不满意可以切开复位,经皮固定标准侧方入路;切开复位需显示股骨颈前方,使用Smith-Peterson或Watson-Jones入路。
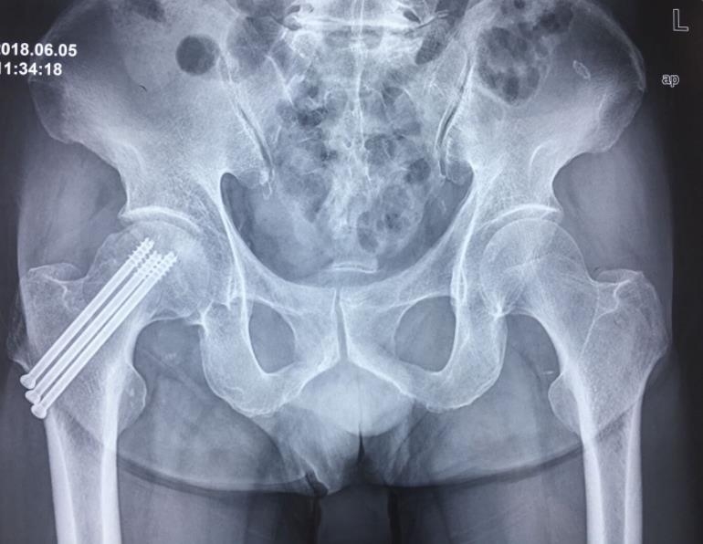
闭合复位经皮固定手术步骤
1、经皮沿股骨颈轴线置入空心钉导针,确保导针平行;
2、标准放置螺钉为倒三角形,其中下方螺钉在股骨矩,后方螺钉在后方骨皮质、研究发现倒三角形平行三枚螺钉能提供最佳的固定强度;
3、螺钉位于股骨颈四周,特别是后侧及下方,避免低于小转子方向进针,可能导致术后转子下骨折;
4、两个平面透视导针位置良好后切开皮肤,空心钻铭孔,导针引导下拧入空心钉,空心钉确保所有螺纹位于骨折线近端,螺钉头应距离软骨下骨5mm。
术后功能锻炼
根据复查骨折愈合情况,骨折固定术后12周内可进行脚尖点地负重锻炼,12周后开始部分负重锻炼。
讨论
空心钉固定的三原则:“贴边、平行、倒品”。
1、贴边是指3枚螺钉在股骨颈内,尽量靠近外围皮质。这样3枚螺钉作为一个整体,对整个骨折面可形成面状加压,如果3枚螺钉不够离散,更趋于点状加压,稳定性较差,不能较好地对抗扭转和剪切。
有研究显示,在侧位片上,螺钉的前后分布越分散,骨折不愈合发生率越低。J Bone Joint Surg Br. 2005 May: 87(5): 632-4.

图1 3枚螺钉在股骨颈内的理想位置
2、倒品有更明显的生物力学优势,CORR曾发表美国学者的一项生物力学研究,对比两种固定方式出现再骨折的负荷大小,发现倒三角再骨折的平均负荷11330N,而正三角仅7795N,差异明显,也就是说倒三角形固定可使再骨折的负荷提升45%。

图2 倒品字固定
3、平行生物力学更稳定。
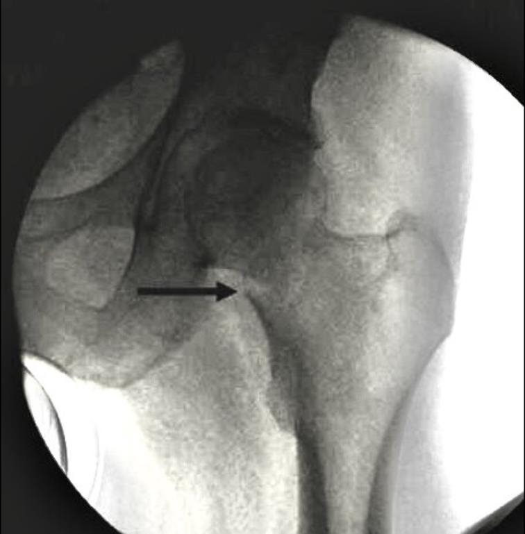
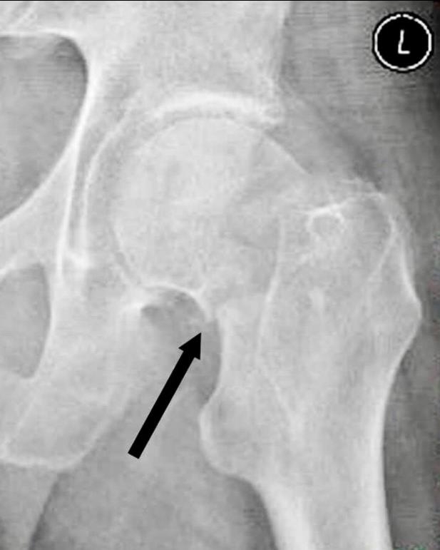
阳性支撑与阴性支撑
1、阳性支撑是指股骨颈骨折的远骨折端突向近侧骨折断端内下缘的内侧。

图3 阳性支撑更稳定
2、阴性支撑是指近侧骨折断端(股骨颈、头)的内下缘突向股骨颈远骨折端内上缘的内侧。阴性支撑容易导致复位的股骨头移位,继而发生内翻,内固定失败率高。

图4 阴性支撑不稳定
临床病例









作者简介

梁炳生,山西医科大学第二医院骨科主任医师,教授,博士生导师,享受国务院政府特殊津贴专家,山西省医学学科带头人导师。
社会任职:山西省医师协会手外科医师分会会长,中国医师协会手外科医师分会常委,山西省医师协会骨科医师分会副会长,山西省医学会手外科专业委员会名誉主委;国家自然科学基金委员会评审专家,国家教育部学位中心评审专家;《中华手外科杂志》《中国实用手外科杂志》《中国修复重建外科杂志》编委,《实用骨科杂志》常务编委。
科研成果:在国内专业杂志发表相关论文100余篇,SCI论文6篇。主编专著3部,获得科研专利4项。主持或合作国家自然基金课题4项,国家自然科学基金项目及省部级重点项目10项。



京公网安备11010502051256号