一文读懂前交叉韧带双束重建技术
2022-01-12 文章来源:《现代骨科运动医学》 作者:陈世益,冯华 我要说
来源:《现代骨科运动医学》
主编:陈世益,冯华
本节作者:余家阔
1938年,Palmer首先提出ACL由前内束和后外束构成,两束各有其特殊功能。两束在膝关节伸展时平行、屈曲时扭转缠绕,这一观点已得到了广泛的认可。基于这一理论,1999年Muneta等在单束重建的基础上开展了经胫骨的双束重建。与单束重建不同,常规的双束重建胫骨端和股骨端各建立2个隧道。理论上,双束重建具有移植物更接近正常ACL的解剖结构和通过增加骨隧道来增加移植物与隧道的接触面积以达到促进愈合的目的。
从ACL的足印区组织学研究结果看,无论股骨止点还是胫骨止点的足印区,其纤维致密区都是以长条状分布为主,用单个圆形骨道和单个椭圆形骨道对其重建,覆盖率显然不足(图1、图2)。

图1 ACL股骨足印区纤维致密(斜线)和疏松(点状)分布

图2 ACL胫骨足印区纤维受力情况(颜色越深表示受力越大)
ACL的前内束和后外束在股骨止点上占据很大一片长方形区域。已经发表的一些解剖学研究结果显示,除非更换手术器械和移植物,否则用现有手术工具和移植物,大片长方形区域的双束重建技术仍是最简单易行并符合大体解剖结构重建的解决方案。
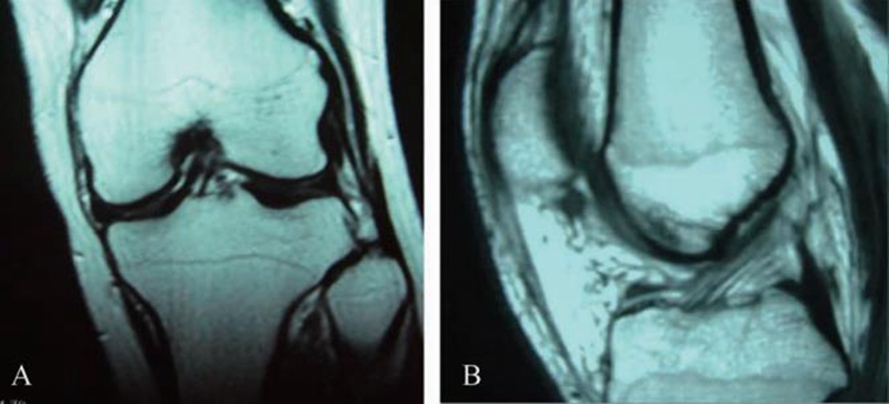
目前为止,双束重建MRI影像学研究还比较匮乏,但ACL的MRI影像显示其有双束或多束结构的并不在少数(图3)。如果韧带断裂,又希望恢复到最佳状态,更优选择应该是能很好地重建其天然结构的解剖双束重建技术(图4)。

图3 ACL的MRI影像 A.双束;B.单束

图4 ACL双束重建的关节镜下所见
前交叉韧带双束重建技术的演变
1.早期基于ACL传统单束重建的ACL四骨道双束重建技术
早期的ACL四骨道双束重建技术几乎是传统单束重建的翻版(图5)。可以说是在传统单束重建的基础上在术者认为合适的位置增加了后外束。该技术还不能称之为解剖双束重建,只能称之为非解剖双束重建技术。

图5 最早的四骨道双束重建术术后影像
前内束股骨骨道定位几乎就是传统ACL单束重建,该双束重建将前内束的股骨骨道定位在过顶位,超过12点的位置;后外束的股骨骨道定位在超过12点的位置。前内束的胫骨骨道用55°的定位器定位在足印区中心点,后外束胫骨骨道在保留3mm骨桥基础上定位在前内束胫骨骨道的后外侧。
2.以骨嵴标志为参照的ACL四骨道解剖双束重建
可以说这是ACL四骨道双束重建术出现10年左右,双束重建技术基本成熟的标志。该技术因为是基于对ACL解剖的新研究成果设计的,因此可称为ACL的四骨道解剖双束重建技术。其特点是注重髁间窝外侧嵴(住院医师嵴)和束间嵴在前内束和后外束股骨骨道定位中的作用,使得前内束股骨骨道的定位更准确(图6)。但因为2012年Sasaki才发表了ACL股骨Footprint直接止点致密区的组织学结果,2017年Robert Smigielski才发表了Ribbon止点特征,该时期双束重建代表性技术往往有前内束股骨骨道稍低而后外束股骨骨道过低的问题。

图6 以髁间窝外侧嵴(住院医师嵴)和内侧髁间嵴为参照的解剖双束重建术中股骨和胫骨的骨道定位
A.以胫骨平台内侧髁间嵴为解剖标志的ACL双束重建的胫骨骨道定位方法;B.以髁间窝外侧嵴为解剖标志的ACL双束重建的股骨骨道定位方法。PLB:后外束;AMB:前内束
该时期的胫骨骨道还是处于以ACL胫骨止点足印区为参照的阶段。总体前内束和后外束的胫骨骨道定位均偏外,但前、后位置没有明显问题。
3.以ACL股骨和胫骨止点足印区纤维致密区为参照的ACL四骨道解剖双束重建
该时期的四骨道解剖双束重建手术,特点是双股骨骨道位置因为考虑重建重要的致密区都被拔高,双胫骨骨道的参照点也是以胫骨内侧髁间棘的纤维致密区为主要参照而内移(图7)。这个时期的ACL解剖双束重建技术特点是股骨骨道变高、胫骨骨道内移。

图7 以ACL足印区的致密区(或带状结构)为参照的ACL四骨道解剖双束重建
A. 以ACL股骨足印区的致密区(或带状结构)为参照的ACL直接止点双束重建股骨骨道定位方法;B. 以ACL胫骨足印区的致密区(或带状结构)为参照的ACL致密区双束重建胫骨骨道定位方法。AMB:前内束;PMB:后内束;PCL:后交叉韧带;PLB:后外束;LM:外侧半月板
ACL双束重建从非解剖双束重建到解剖双束重建的演变过程反映了人们对ACL足印区解剖的认识在不断更新,并在临床实践中不断被验证。
4.其他双束重建技术
在多种ACL双束重建技术中,有股骨两骨道、胫骨单骨道的三骨道双束重建技术,也有股骨和胫骨的单骨道中用界面钉分隔骨道内移植物形成类似双束移植物分布的ACL两骨道双束重建技术。但这些技术要么是胫骨端的足印区重建覆盖率不足,要么是两端都不足,还不能称为真正的ACL双束重建技术。
值得推荐的前交叉韧带双束重建技术
1.仿生前内束和后外束三维空间的ACL四骨道双束重建技术
笔者近年来对ACL三维MRI扫描的部分结果研究发现(个人通讯,图片未发表),ACL的前内束和后外束的致密区,在任何屈伸角度时都是交叉的。
ACL纤维的致密区都显示为前内束和后外束共同构成的扁带状,并在屈伸活动中反复扭转交叉。新的ACL四骨道双束重建技术强调对该布局进行仿生重建。
2.仿生前内束和后外束三维空间的ACL四骨道双束重建技术中股骨骨道技术
对于退行性病变严重或病程长、足印区残留纤维不清晰的,往往髁间窝外侧嵴更突出,将髁间窝外侧嵴当成股骨足印区的纤维致密区,前内束股骨骨道定位紧贴其后部60%部分的下方。后外束股骨骨道定位在足印区纤维致密区前方40%、纤维致密区的稍下1~2mm的位置,或定位在紧贴前方60%髁间窝外侧嵴下方再下调1~2mm的位置(图8),不用定位器,直接用克氏针定位,有时用尖锥、引导套管辅助克氏针准确钻入定位点。

图8 将前内束和后外束的股骨骨道分别定位在纤维致密区的后60%位置和前40%、下方1~2mm位置
3.仿生前内束和后外束三维空间的ACL四骨道双束重建技术中胫骨骨道技术
图9中的蓝线代表传统意义上的前内束和后外束在大体解剖上的分界线。红圈是一般解剖四骨道双束重建时的前内束和后外束的胫骨骨道位置。其中,前内束的胫骨骨道位置和其他解剖双束重建及仿生三维空间的四骨道解剖双束重建是一致的。
但小红圈所示的一般解剖四骨道双束重建的后外束胫骨骨道位置与仿生前内束和后外束三维空间布局的四骨道解剖双束重建时不同,要调整到蓝色圆圈的位置。具体定位时先找到胫骨的内侧髁间棘,内侧髁间棘的后40%定位于后外束的胫骨骨道,前60%定位于股骨骨道。定位好以后,中立位屈伸膝关节,保证前内束无撞击即可确定这两个骨道的位置。

图9仿生前内束和后外束三维空间的ACL四骨道双束重建技术
4.仿生三维空间前内束和后外束布局的四骨道解剖双束重建技术的术中优先考虑因素
(1)后外束股骨骨道定位和胫骨骨道定位优先的原则 ;
(2)后外束移植物直径足够粗的原则;
(3)后外束股骨骨道低于前内束股骨骨道的原则;
(4)前内束股骨骨道高度不高于过顶位的原则;
(5)沿胫骨平台内侧髁间棘定位双胫骨骨道原则。
前交叉韧带双束重建的术后评估
术后评估应该特别重视Lachman试验、PST、后推KT-2000和IKDC客观评估4项内容。
(1)重视Lachman试验结果,评估后外束功能。
(2)放松或麻醉下PST评估膝关节ACL重建术后的旋转稳定性。
(3)后推KT-2000评估膝关节前后稳定性。
(4)IKDC评分。
(5)其他评估如MRI所见的移植物信号和影像学质量、X线片肢体力线、CT骨道位置、高速摄影动作分析、fMRI脑功能评估、基因测序评估等。
前交叉韧带双束重建的术后康复
ACL双束重建的术后康复在常规单束重建的术后康复基础上要考虑以下几点:
(1)术后1周避免膝关节过伸,以免后外束承受牵拉应力。
(2)术后4周不负重,术后5~6周部分负重。
(3)良好的股四头肌力量和50%的腘绳肌/股四头肌(H/Q)比值。



京公网安备11010502051256号