活动与固定平台单髁假体对膝关节前内侧骨关节炎的疗效比较
2021-12-31 作者:延净德,胡彬,谢兴文,闫永昌,沙宇 我要说
本文引自:延净德,胡彬,谢兴文,等.活动与固定平台单髁假体对膝关节前内侧骨关节炎的疗效比较[J].实用骨科杂志,2021,27(10):908-912.
摘要
目的:观察活动与固定平台的单髁假体置换(unicompartmental knee arthroplasty,UKA)在膝关节单间室骨关节炎中的临床应用效果。
方法:选择2018年1月至2019年1月收治的84例膝关节前内侧骨关节炎患者,随机分为对照组与观察组各42例。对照组采用Link固定平台UKA治疗,男20例,女22例;年龄52~88岁,平均(68.16± 5.28)岁;左膝13例,右膝29例;身体质量指数(23.51±3.82)kg/m2;术前关节平均屈曲角度(115.62±5.49)°。观察组采用Oxford活动平台UKA治疗,男23例,女19例;年龄48~89岁,平均(68.37±5.43)岁;左膝14例,右膝28例;身体质量指数(23.54±3.75)kg/m2;术前关节平均屈曲角度(115.58±5.37)°。观察并记录膝关节功能、疼痛、关节活动度、并发症发生情况。
结果:两组患者术后24个月美国膝关节协会评分(knee society score,KSS)、美国特种外科医院(hospital for special surgery,HSS)膝关节评分均高于术前(P<0.05)。两组术后24个月HSS评分、KSS评分比较差异无统计学意义(P>0.05)。两组术后疼痛视觉模拟评分(visual analogue scale/score,VAS)均低于本组术前(P<0.05),组间比较差异无统计学意义(P>0.05)。两组术后胫股角(femoral tibia angle,FTA)、胫骨平台后倾角(sagittaltibial Angle,STA)较本组术前显著缩小(P<0.05)。术后关节最大屈曲角度、关节最大伸直角度明显优于术前(P<0.05),组间比较差异有统计学意义(P<0.05)。两组术后感染、假体松动、衬垫脱位、关节出血及纤维化、关节炎进展等并发症发生率比较差异无统计学意义(P>0.05)
结论:活动平台与固定平台UKA治疗膝关节内单间室骨关节炎均可改善患者膝关节功能,减轻疼痛程度,改善关节活动度,不良反应发生率低。
膝关节骨关节炎(knee osteoarthritis,KOA)为临床常见的严重膝关节退行性变,以软骨下骨裸露、关节缘骨质增生、关节间隙进行性狭窄为主要特征。由于人体在行走、站立过程中,大多数的膝关节外展力矩处于劣势,内收力矩占优,60%~75%膝关节承重通过膝关节胫骨平台内侧面,而外侧面承重相对较少,故下肢应力主要分布在膝关节内侧间室,使内侧间室骨关节炎成为临床最常见的退行性关节病变。临床治疗主要以缓解关节疼痛、延缓软骨退变进展、矫正膝关节内外翻畸形、改善患者的膝关节功能及生活质量为目标。单髁置换术(unicompartmental knee arthroplas-ty,UKA)为目前临床最常用的治疗KOA的手术方式,近年来也在膝关节单间室骨关节炎中得到广泛应用。UKA根据治疗平台的不同,主要分为活动平台与固定平台两种类型。固定平台与活动平台的设计理念、操作方法存在一定差异,使得两种平台假体的选择存在争议。本研究以我院2018年1月至2019年1月收治的84例膝关节单间室关节炎患者为研究对象,观察不同平台UKA的应用效果,报道如下。
1 资料与方法
1.1 一般资料
研究符合伦理标准,并由我院医院伦理委员会批准。研究对象为2018年1月至2019年1月我院收治的84例膝关节单间室关节炎患者,以随机数字表法分为对照组和观察组各42例。对照组中,男20例,女22例;年龄52~88岁,平均(68.16±5.28)岁;左膝13例,右膝29例;身体质量指数平均(23.51±3.82)kg/m2;术前关节平均屈曲角度为(115.62±5.49)°。观察组男23例,女19例;年龄48~89岁,平均(68.37±5.43)岁;左膝14例,右膝28例;身体质量指数平均(23.54±3.75)kg/m2;术前关节平均屈曲角度为(115.58±5.37)°。经统计,两组一般资料比较差异无统计学意义(P>0.05)。
1.2 纳入、排除标准
纳入标准:(1)符合KOA的临床诊断标准,并经X线、MRI等检查证实为膝关节内侧单间室骨关节炎,疼痛局限于内侧间室;(2)本次研究前经3个月保守治疗效果不理想;(3)符合内侧单髁置换适应证;(4)病历资料、随访资料完整。
排除标准:(1)存在严重心脑血管、肝肾、中枢神经系统疾病者;(2)存在手术禁忌证者;(3)存在感染性关节炎、色素沉着绒毛结节性滑膜炎、血友病、软骨钙化、膝关节不稳者;(4)存在重度骨质疏松者;(5)使用其他类型单髁假体者。
1.3 治疗方法
两组均给予相同术前准备,包括:常规检查,康复师提前介入指导患者踝泵运动,股四头肌收缩及膝关节屈伸训练。术前常规禁食、禁饮。入院后口服塞来昔布200mg/次,每日2次。手术当日肌注帕瑞昔布注射液40mg超前镇痛。全身麻醉下,常规消毒铺巾,止血带止血。于髌骨内侧缘至关节线下方3cm处,在髌骨内侧缘做长7~10cm切口,依次切开皮肤、筋膜,达关节囊,暴露病变内侧间室。切除部分脂肪垫、内侧半月板前角,清理相应部位骨赘。探查外侧间室、髌骨关节、前交叉韧带无异常,即可行单髁置换。
对照组采用固定平台单髁假体。胫骨截骨采用髓外定位法,截骨厚度7~9mm,分别行平台垂直截骨和水平截骨。股骨截骨采用摆锯去除内髁残余的关节软骨及边缘骨赘,使股骨假体前缘部分嵌入并与相邻骨组织齐平,股骨钻孔。安装试模,平衡屈曲和伸直间隙,通过膝关节完全伸屈运动判断膝关节稳定性。确保膝关节屈伸平衡后,脉冲冲洗骨面,调和骨水泥,分别安装胫骨和股骨假体,清除多余骨水泥后伸直位至骨水泥变硬。
观察组采用活动平台单髁假体。将股骨内髁增生的骨赘咬除,髁间窝成形,将增生滑膜组织清除;测量股骨髁大小,行胫骨髓外定位后行平台垂直及水平截骨,将胫骨内侧平台截除,根据测量结果选取合适大小胫骨假体试模;行股骨髓内定位,安装股骨髓内定位杆,选取合适大小股骨假体试模,钻孔定位,安放相应模块将股骨后髁截除,于导向杆引导下打磨股骨内髁,测试屈伸间隙平衡后处理股骨前后缘,平台龙骨槽开槽后安装试模,再次测试屈伸间隙平衡,检查满意后取出试模,将骨床以脉压冲洗干净后涂抹骨水泥,先安放胫骨假体、然后安放股骨假体,需将干净溢出的骨水泥进行清理,小腿自然悬垂位应安放聚乙烯垫片,屈膝45°骨水泥固化。
两组术前30min均静滴氨甲环酸1g,关节腔注射氨甲环酸1g,关节囊及内侧副韧带、髌腱止点注射“鸡尾酒”(罗哌卡因注射液100mg、复方倍他米松注射液5mg加生理盐水稀释至60mL)。所有病例均未放置引流管,逐层缝合,关闭切口。术后2~4h进行功能锻炼,术后48h常规应用头孢呋辛预防感染,术后12h低分子肝素皮下注射及气压泵预防下肢深静脉血栓。术后1d助行器辅助行走,术后3d完全负重行走,术后3周恢复正常行走。
1.4 观察指标
(1)膝关节功能比较。分别于术前、术后24个月采用美国膝关节协会评分(knee society score,KSS)、美国特种外科医院(hospital for special surgery,HSS)膝关节评分进行评价,包括关节功能、疼痛、活动度、肌力等内容。(2)疼痛程度比较。采用疼痛视觉模拟评分(visual analoguescale/score,VAS)评价,0分为疼痛程度最轻,10分为疼痛程度最严重。(3)观察并记录患者术后胫股角(femoral tibiaangle,FTA)、胫骨平台后倾角(sagittal tibial Angle,STA)、最大关节屈伸活动度、最大关节伸直角度。(4)术后并发症发生情况。观察术后有无感染、假体松动、衬垫脱位、关节出血及纤维化、关节炎进展等并发症出现。
1.5 统计学分析
数据采用SPSS 26.0软件进行统计学分析,计量资料以(x±s)表示,组间比较采用两独立样本t检验,组内比较采用配对t检验;计数资料比较采用卡方检验,以P<0.05为差异有统计学意义。
2 结果
2.1 疼痛程度比较
两组术后VAS评分均低于本组术前(P<0.05),组间比较差异无统计学意义(P>0.05,见表1)。

表1
2.2 膝关节功能评分比较
两组术后24个月 HSS评分、KSS评分均高于本组术前(P<0.05)。两组术后24个月HSS评分、KSS评分差异无统计学意义(P>0.05,见表2)。

表2
2.3 术后STA、FTA、关节最大屈曲角度、最大伸直角度
两组术后FTA、STA较本组术前显著缩小(P<0.05)。关节最大屈曲角度、关节最大伸直角度明显优于术前(P<0.05),组间比较差异有统计学意义(P<0.05,见表3)。

表3
2.4 术后并发症发生情况
两组术后感染、假体松动、衬垫脱位、关节出血及纤维化、关节炎进展等并发症发生率比较,差异无统计学意义(P>0.05,见表4)。

表4
2.5 典型病例
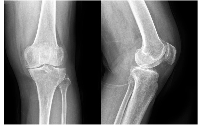
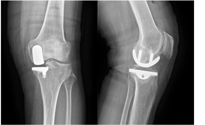
(1)70岁女性患者,以左膝关节疼痛5年、加重1年为主诉入院,入院查体左下肢内翻畸形11°,膝关节内侧间隙压痛阳性,外侧无压痛,髌骨研磨试验阴性,抽屉试验阴性,ROM 5°~120°,诊断左膝关节前内侧骨关节炎,行左膝关节内侧固定平台单髁置换术。术后给予预防感染、消肿止痛及抗凝治疗,术后24h康复师指导助行器辅助下床活动,术后1个月膝关节 HSS评分由63分升至85分,KSS评分由49分升至80分,内侧疼痛消失,患者恢复满意。手术前后影像学资料见图1~2。
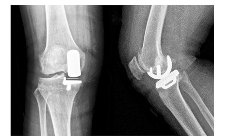
(2)65岁女性患者,以右膝关节疼痛3年、加重半年为主诉入院,入院查体右下肢内翻畸形8°,膝关节内侧间隙压痛阳性,外侧无压痛,浮髌试验阴性,髌骨研磨试验 阴 性,抽 屉 试 验 阴 性,ROM10°~130°,诊断为右膝关节前内侧骨关节炎,行 Oxford活 动 平 台 内 侧 单髁置换术。术后24h内间断 冰 敷,给予预 防 感 染、消 肿 止 痛及抗凝 治 疗,术 后24h康复师指导助行器辅助下床活动,术后1个月膝关 节 HSS评 分 由62分升至81分,KSS评 分 由50分升至85分,内侧疼痛消失,手术效果良好。手术前后影像学资料见图3~4。

图1术前 X线片示内侧间隙呈骨对骨改变

图2术后 X线片示假体位置良好,大小合适

图3术前 X线片示内侧间隙呈骨对骨改变

图4术后 X线片示假体位置良好,大小合适,活动垫片在位
3 讨论
膝关节单髁置换为膝关节炎的常用治疗方法,与全膝关节置换相比,单髁置换术与胫骨高位截骨术均属保膝手术范畴,且单髁置换术较胫骨高位截骨术具有更高的成功率,术后无需长时间制动,关节功能恢复快,可最大限度保留膝关节本体组织,逐渐在临床中得到广泛应用。既往文献多侧重观察单一类型的单髁假体置换效果,而不同类型假体的临床效果比较研究尚不多见。鉴于目前临床常用的活动平台假体与固定平台假体在设计上的不同,导致手术翻修也有所区别。
目前临床常用的固定平台基于人体解剖型曲面设计而成,高度匹配人体股骨髁弧度,衬垫与平台金属托一体固定于胫骨上。长期的研究发现,固定平台对衬垫的运动有所限制,使假体边缘负荷过重,加剧了假体周围磨损。活动平台是基于胫骨的平面设计,其股骨假体为球形,在半月板衬垫表面与球形股骨假体相匹配。与固定平台相比,活动平台在屈伸运动过程中假体可相对自由滑动,并可在一定范围内旋转。这种设计显著减少了假体衬垫的磨损,最大限度保留关节活动度。文献报道表明,与固定平台相比,活动平台更有利于膝盖自然运动学的恢复及接触应力的分散,从而有效减少衬垫磨损,延长假体寿命。
本研究中,笔者比较了两种不同平台在膝关节内单间室关节炎中的临床应用效果,结果表明,两组术后24个月HSS评分、KSS评分均高于本组术前。但组间 HSS、KSS评分差异无统计学意义,说明两种平台对膝关节功能的改善效果相当,这与沙宇等的研究结论一致。两组术后VAS评分均低于本组术前,组间比较差异无统计学意义,说明两种平台对患者的创伤程度类似,两组术后FTA、STA较本组术前显著缩小,关节最大屈曲角度、关节最大伸直角度明显优于术前。观察组的改善效果更为明显。这可能与下述原因有关:活动平台组术前至术后的矫正角度比固定平台组大,使得活动平台单髁假体置换更易获得中立的下肢力线,更容易恢复解剖轴线,故活动平台单髁假体对恢复下肢力线更具优势。两组术后感染、假体松动、衬垫脱位、关节出血及纤维化、关节炎进展等并发症发生率差异无统计学意义。既往报道表明,活动平台主要并发症为无菌性松动、衬垫脱位,而固定平台由于假体设计的不同,不存在短期衬垫脱落的风险,以假体固定衬垫磨损为主。固定平台的衬垫固定于假体上,短时间内的脱位风险较低,总并发症发生风险亦较活动平台更少,但本组观察样本数较小,未能显示出明显差异。
综上所述,活动平台与固定平台单髁假体置换治疗膝关节内单间室关节炎均可改善患者膝关节功能,减轻疼痛程度,改善关节活动度,不良反应发生率低。
参考文献:略



京公网安备11010502051256号