关节镜下肱二头肌长头腱转位固定辅助替代上关节囊重建(Chinese Way)修补巨大及不可修复肩袖撕裂的临床疗效
2021-09-29 文章来源:中国运动医学杂志2019年8月第38卷第8期 作者:尚西亮,吕婧仪,陈疾忤,李宏,戈允申,陈世益(复旦大学附属华山医院运动医学科) 我要说
摘要
目的:观察关节镜下巨大及不可修复肩袖撕裂行肱二头肌长头腱转位固定辅助替代上关节囊重建(Chinese Way)的临床疗效及重建组织愈合情况。
方法:随访我科2015年7月~2018年1月收治的前上方或后上方巨大及不可修复肩袖撕裂并行关节镜下肱二头肌长头腱转位固定辅助替代上关节囊重建(Chinese Way)的患者共21例,其中男7例、女14例;年龄49~72岁,平均63岁。术前症状持续时间 2~36个月,平均10个月。术前及术后随访患者肩关节活动度(前屈、外展和体侧外旋角度),并采用疼痛视觉模拟评分(visual analogue scale,VAS)、加州大学洛杉矶分校(University of California Los Angeles, UCLA)评分、Constant-Murley 评分及复旦大学肩关节功能评分系统(Fudan University shoulder score,FUSS)进行肩关节疼痛与功能评价,MRI随访重建组织结构完整性。
结果:所有患者术后切口均Ⅰ期愈合,无明显并发症及不良反应。所有患者均获得随访,术后随访15~36个月,平均随访21.1个月。术前和末次随访时,患者肩关节活动度分别为前屈(88.81°±34.49°vs.153.81°±27.47°)、外展(67.38°±38.98°vs.151.43°±26.89°)、体侧外旋(33.33°±18.52°vs.73.33°±12.38°),VAS评分分别为8.24±0.70分和1.10±0.70分,UCLA评分分别为14.52±2.73分和32.00±2.28分,Constant-Murley评分分别为40.95±7.68分和90.62±6.09分,FUSS评分分别为30.81±8.62分和82.62±4.79分。所有患者肩关节活动度及VAS评分、UCLA评分、Constant-Murley评分、FUSS评分均较术前明显改善(P<0. 001)。末次随访时UCLA 评分优5例,良14例,差2例,优良率90.5%(19/21)。MRI随访见18例患者组织愈合良好,愈合率达85.7%(18/21)。
结论:关节镜下采用肱二头肌长头腱转位固定辅助替代上关节囊重建(Chinese Way)可明显缓解巨大及不可修复肩袖撕裂患者疼痛症状,改善关节活动度,恢复关节功能且结构失败率低。
巨大及不可修复肩袖撕裂是目前骨科和运动医学领域研究与治疗的热点和难点,其治疗方式多种多样,包括关节镜下清理术、肩袖部分修复、肌腱转位、传统上关节囊重建(superior capsular reconstruction,SCR)以及肱二头肌长头腱(long head of biceps tendon,LHBT)转位固定辅助替代上关节囊重建(Chinese Way SCR)等方式进行治疗。其中“Chinese Way”SCR是一种利用LHBT转位固定于冈上肌腱足印区重建 SCR 修补巨大肩袖的方法,该方法由法国医生 Johannes Barth和本文作者陈世益共同发表于2017年的Arthroscopy Technique上并简称为“Chinese Way”。陈世益教授带领我科在国际上率先开展该技术并取得了较满意的临床疗效。现将我科采用“Chinese Way” SCR术行巨大及不可修复肩袖修补患者的临床随访结果报道如下。
1 资料与方法
1.1 一般资料
本研究共收集我科2015年7月至2018年1月期间因巨大及不可修复肩袖撕裂行“Chinese Way”修补术的患者21例,其中男7例、女14例。年龄49~72岁,平均63岁。术前均以“关节疼痛伴或不伴活动受限、外展乏力”为主诉就诊,术前症状持续时间2~36个月,平均10个月,保守治疗无效。
纳入标准:(1)术前影像学检查显示前上或后上巨大肩袖撕裂(参考Zumstein等定义≥2根肌腱撕裂为巨大肩袖撕裂,本研究纳入病例均涉及2根或2根以上肌腱撕裂),Hamada 2~3级,Goutallier 3~4级;(2)关节镜下探查确认巨大肩袖撕裂且冈上肌腱严重回缩至关节盂边缘甚至内缘、退变明显,难以拉回足印区,冈下肌腱、肩胛下肌腱部分或完全撕裂;(3)LHBT关节腔部分连续性完整,具有力学强度,肌腱质量良好,可以伴有部分磨损或轻度退变。
排除标准:(1)术前影像学检查显示严重骨关节炎或肩袖撕裂关节病,Hamada≥4级;(2)关节镜下探查发现LHBT脱位,关节腔部分撕裂超过肌腱宽度的50%或退变严重者(肌腱增粗伴明显纵性撕裂);(3)风湿性或类风湿性关节炎;(4)色素沉着绒毛结节性滑膜炎;(5)合并肩关节脱位或肩锁关节脱位者;(6)合并严重 SLAP损伤者;(7)巨大肩袖撕裂翻修者;(8)既往有其他肩关节手术史或关节感染史。
1.2 手术方法
患者全身麻醉后,取健侧卧位,患肢外展45°、前屈20°位悬吊皮牵引,根据患者肌肉强壮程度及术中牵引情况,选择4~6kg重量牵引。常规肩关节后方入路置入30°关节镜,由外及内于肩袖间隙处建立前方入路,置入手术器械。常规关节镜探查关节腔有无合并损伤及肱二头肌长头腱关节内部分连续性及质量。对合并关节粘连的患者行关节囊松解术,对合并肩胛下肌腱撕裂者,根据撕裂大小选择关节腔内或肩峰下修补肩胛下肌腱。然后建立肩关节外侧入路及前外侧入路,将关节镜置入肩峰下间隙,清理肩峰下滑囊,成形肩峰前下方骨赘,然后开始肩袖修补手术:
(1)首先外侧入路关节镜下观察评估肩袖撕裂及回缩情况,探查LHBT连续性及肌腱质量,术中确定肩袖为巨大撕裂,累及2根肌腱以上且冈上肌腱回缩明显,松解后仍难以拉回足印区或虽可拉回足印区,但张力较大,同时LHBT无明显撕裂或退变时,开始进行“Chinese Way”肩袖修补程序(见图1)。
(2)以骨性刨削器磨除肱骨大结节骨赘,清理肩袖足印区,合适张力下将LHBT转位至冈上肌腱足印区近关节面处,一般后移1.5cm左右,植入一枚直径5.5mm Healix带线锚钉(Mitek,三线锚钉),Lasso技术固定移位LHBT(见图2)。
(3)以组织抓钳牵拉后方撕裂肩袖,判断肌腱张力及撕裂形态,在移位固定的LHBT后方植入1~2枚直径4.5 mm Healix带线锚钉(Mitek,双线锚钉),缝合冈下肌腱,然后根据张力情况选择部分或完全修复冈上肌腱,其中缝合固定LHBT的缝线还可用于缝合肩袖组织(见图3)。
(4)向LHBT聚拢修补后的冈上与冈下肌腱,可根据张力情况选择是否行边边吻合,但冈下肌腱不与LHBT边边吻合。
(5)修补完成后,根据远端LHBT肌腱质量选择切断或保留LHBT 远端(见图4),其中LHBT远端部分撕裂超过肌腱宽度的50%或退变严重者(肌腱有明显纵性撕裂),我们选择行腱切断术,定义为Ⅰ型“Chinese Way”,LHBT远端肌腱质量良好、无明显撕裂或退变者选择保留,定义为 Ⅱ型“Chinese Way”。手术结束后,严密止血,缝合皮肤切口,无菌敷料包扎后于患肩外展30°中立位佩戴肩关节支具。

图1 关节腔探查见LHBT连续性良好,无明显撕裂及严重退变(A);肩峰下间隙探查见后上方巨大肩袖撕裂,其中冈上肌腱回缩严重(B)

图2 骨性刨削清理冈上肌腱足印区(A),移位固定LHBT至冈上肌腱足印区(B)

图3 组织抓钳牵拉后方撕裂肩袖,判断肌腱张力及撕裂形态(A),在移位固定的LHBT后方植入2枚带线锚钉,连同缝合固定LHBT的缝线一起缝合冈下及部分冈上肌腱(B)

图4 修补完成后,根据远端LHBT肌腱质量选择切断或保留LHBT远端(A:LHBT远端已切断;B:LHBT远端保留)
1.3 术后康复
所有患者术后均由专门从事运动康复的康复师指导功能锻炼,具体如下:(1)术后即刻上臂置于外展30° 位佩戴肩关节外展支具,总体固定时间6周;(2)术后第1天即开始肘腕关节和手的主动活动度训练及上臂肌肉力量训练、肩胛稳定性练习(挺胸、耸肩、绕肩)、肩部肌肉放松训练(钟摆及画圈运动)等;(3)术后第1天开始肩关节前屈、外旋被动活动度训练(3~4周内前屈低于肩关节平面即<90°,外旋不限制;4周内避免主动活动);(4)锻炼结束冰敷患处以减轻肿胀和炎症(10~15分钟/次);(5)6周后恢复全关节活动度,2个月后开始主动关节活动度训练,3个月后开始肩关节周围肌肉力量训练,6个月后行对抗性训练。
1.4 观察指标
随访由一名非手术者进行,内容包括:(1)术前及术后肩关节活动度(前屈、外展和体侧外旋角度),并采用疼痛视觉模拟评分(visual analogue scale,VAS)、加州大学洛杉矶分校(University of California Los Angeles,UCLA)评分、Constant-Murley 评分、复旦大学肩关节功能评分系统(Fudan University Shoulder Score, FUSS)进行肩关节疼痛与功能评价;(2)记录患者有无鼓眼畸形、阵挛痛、关节粘连、感染、锚钉移位或脱出等并发症;(3)术前及术后行X线及磁共振检查(对于不能行磁共振检查者,可以行肩袖B超检查)观察肱骨头位置及重建组织完整性。
1.5 统计学分析
计量资料以均数±标准差(x±s)形式表示,采用SPSS24.0统计软件对数据进行分析,术前术后计量资料比较采用Wilcoxon秩和检验,以P<0.05为差异有统计学意义。
2 结果
2.1 患者基本情况及合并症
本研究共纳入21例患者,其中男7例,女14例。年龄49~72岁,平均63岁。术前症状持续时间2~36个月,平均10个月。关节镜下发现21例患者全部存在冈上、冈下肌腱撕裂,其中7例合并肩胛下肌腱完全撕裂、4例合并肩胛下肌腱上部撕裂,术中均行肩胛下肌腱修复术。9例患者存在明显肩峰前下方骨赘增生并行肩峰成形术。Ⅰ型“Chinese Way”15 例,Ⅱ型“Chinese Way”6例。手术使用锚钉2~5枚,平均3枚。手术时间60~150分钟,平均90分钟。所有患者均获得随访,随访时间15~36个月,平均 21.1个月。所有患者术后切口均Ⅰ期愈合,除1例Ⅰ型“Chinese Way”患者术后出现鼓眼畸形外所有患者术后均未出现阵挛痛、关节粘连、感染及术后锚钉移位或脱出等明显并发症及不良反应。
2.2 关节活动度
术前与术后末次随访时患者肩关节活动度见表1,所有患者术后肩关节活动度均较术前明显改善(P<0.001)。

表1
2.3 疼痛和功能评分
术前与末次随访时患者肩关节VAS 评分、UCLA 评分、Constant-Murley评分、FUSS评分见表2。所有患者术后各项评分均较术前明显改善(P<0.001)。末次随访时UCLA评分优 5 例,良14例,差2例,优良率90.5%(19/21)。

表2
2.4 重建组织完整性
MRI随访见18例患者重建组织结构完整,愈合率达85.7%(18/21),3例出现明显结构失败,但失败患者功能恢复良好,未诉明显不适,因此未行翻修手术(见图5、图6)。

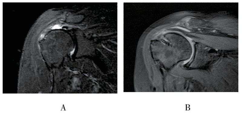
图5 患者女,67岁,末次随访时斜冠状位MRI显示右肩术后重建结构连续性完整A:术前磁共振影像,B:术后磁共振影像

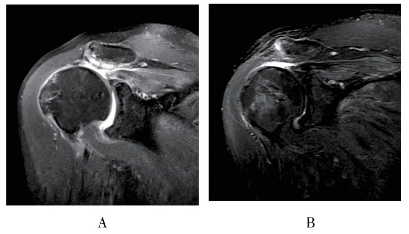
图6 患者男,56岁,术后6个月随访时斜冠状位MRI显示右肩术后重建结构失败A:术前磁共振影像,B:术后磁共振影像
3 讨论
肩袖撕裂是引起肩关节疼痛、乏力和功能障碍的常见原因之一,严重影响患者的生活质量。随着我国老龄化进程的加快及全民健身运动的兴起,肩袖撕裂患者日益增多。文献报道50~59岁人群肩袖撕裂发病率为13%,60~80岁人群发病率为20%~30%,而80岁以上人群则高达50%以上。肩袖撕裂早期可先行保守治疗,对于保守治疗3~6个月以上无效的患者,目前多主张尽早行关节镜下肩袖修补术。随着对肩袖撕裂认识的提高和肩关节镜技术的发展,中小程度肩袖撕裂关节镜下修补术后已取得了令人满意的疗效;然而大和巨大肩袖撕裂修补术后疗效仍不甚满意,再撕裂率较高,文献报道最高可达90%左右。关节镜下肩袖修补术后再撕裂涉及多种因素,包括患者年龄、肩袖撕裂大小、肌肉萎缩与脂肪浸润程度、手术技术等。巨大及不可修复肩袖撕裂相对于中小程度肩袖撕裂而言,肩袖常有明显的肌肉萎缩和脂肪浸润,有时还伴有明显肱骨头上移、肩-肱间隙变小,撕裂肌腱回缩粘连、瘢痕纤维化更为严重,因此在修复时常需要较为广泛的松解,但有时即使通过充分的松解,仍难以修复,或虽然勉强完成修补,但修补张力较高,术后患者疼痛明显,功能预后差,再撕裂率也较高。如Chung等对108例巨大肩袖撕裂患者行关节镜下修补术后随访至少1年,发现39.8%的患者出现了再撕裂。
目前对于巨大和不可修复肩袖撕裂的治疗尚缺乏统一的认识,常用的方法包括:关节镜下清理和肩峰下减压、LHBT切断或固定、肩袖部分修复、SCR、补片增强、肌腱转位、反肩置换等。尽管关节清理和LHBT切断或固定术可明显改善患者疼痛等症状,但与肩袖部分修复和完全修复相比,术后患者功能改善较差,如 Franceschi 等对巨大不可修复肩袖术后平均随访7.8 年发现,关节清理组UCLA评分和RC-QOL评分均较部分修补组低(分别为21.4±3.7vs28.8±4.2,P<0.0001和61.8±6.1vs71.2±9.8,P<0.0002);Maillot 等的研究也发现,关节清理和LHBT切断组ConstantMurley 评分改善明显低于肩袖修补组(平均20.1vs29.1,P<0 .002)。然而尽管部分修补短期内可以获得,较好的功能改善,中长期随访疗效仍然欠佳。Mihata等率先提出了以自体阔筋膜为修补材料行 SCR治疗巨大不可修复肩袖撕裂,术后随访发现患者功能评分较术前明显提高,取得了令人满意的临床疗效;然而SCR不但创伤较大而且费用高,固定阔筋膜一般需要至少6颗锚钉,对于大部分患者而言,无疑经济负担沉重。肩袖补片应用于巨大肩袖撕裂也已取得了令人鼓舞的结果,但同样面临着费用高、补片与肩袖的整合困难及补片降解、并发症多等问题,限制了其应用。
基于此,我们在手术处理巨大及不可修复肩袖撕裂的长期探索中,提出了一种新的经济有效的治疗方法,即术中将无明显撕裂或严重退变的LHBT加以充分利用,保留LHBT关节盂和/或上盂唇止点,外侧转移至冈上肌腱足印区进行固定,最后根据远端LHBT肌腱质量选择切断或保留LHBT远端,以模拟SCR,同时可以桥接部分修复的肩袖。该方法的原理是借用LHBT提供减张支架,加强肩袖前方组织力学强度和前上阻挡效应,辅助巨大肩袖修复,减少缝合肩袖组织的张力。此方法不但避免了取自体阔筋膜行SCR所造成的取材部位的创伤,操作更加简单,而且减少了锚钉使用量(与SCR和补片修补平均需要6颗锚钉相比,该方法仅需要3颗锚钉),大大降低了手术费用,减少了手术时间。本研究中我们纳入的病例均为冈上肌腱完全撕裂且难以拉回足印区的患者,其冈下肌腱虽大部或完全撕裂但肌腱质量较好,松解后可较容易地拉回足印区,该种情况尤为适合行LHBT转位SCR。术中通过清理增生炎性滑膜和滑囊组织,结合肩峰下减压、肩袖修补,术后配合良好的康复训练,患者疼痛(VAS评分)、功能评分(UCLA评分、Constant-Murley评分、FUSS评分)及关节活动度均较术前明显改善(P<0.001),无关节粘连等并发症发生。影像学随访发现85.7%(18/21)的重建组织结构完整。
2018年和2019年国外学者对,“Chinese Way”SCR技术的生物力学进行了研究。如El-Shaar等将10具尸体肩关节标本(5对匹配标本)随机分为两组,每组5具,于大结节足印区切断冈上肌腱及冈下肌腱制作巨大肩袖撕裂模型,然后一组采用自体LHBT移植行SCR,一组采用自体阔筋膜移植行SCR,循环加载观察两组标本行SCR前后抵抗肱骨头上移1.5cm所需负荷差异。结果发现,与巨大肩袖撕裂行SCR前相比, LHBT自体移植物行 SCR 后诱发肱骨头上移需393.2%±87.9%(P=0.029)的负荷,而自体阔筋膜移植行SCR后需194.0%±21.8% (P=0.0125)的负荷。由此可见,LHBT自体移植物SCR在防止肱骨头上移方面,可获得和自体阔筋膜移植SCR相同甚至更强的生物力学稳定性。Han等研究也发现,将LHBT移位至肱骨头行SCR可降低巨大肩袖撕裂引起的肱骨头上移,且移位后LHBT无论与冈下肌腱缝合与否,均可获得相同的生物力学效应。
然而,有关LHBT移位行SCR的临床研究鲜有报道。Cho等将68例巨大肩袖撕裂患者分为两组:37例肩行LHBT增强修补术(A组,LHBT近端及远端分离切断后桥接固定于肩袖和足印区之间的空隙,术后随访14~78个月,平均随访21个月),31例行常规肩袖修补术(B组,术后随访13~63个月,平均随访20个月)。研究发现,A组和B组UCLA功能评分分别由术前的14.1分和13.9分提高到术后的32.6分和30.3分(P<0.001)。末次随访发现,A组患者前屈、外旋和内旋肌力均较B组改善更为明显(P=0.017、P=0.001 和 P<0.001)。 MRI扫描发现,A组肩袖愈合率(14/24,58.3%)明显高于B组(5/19,26.3%)(P=0.036)。由此可见,与常规修补方法相比,LHBT增强修补可明显降低巨大肩袖撕裂术后结构性失败率,提高肌肉力量。与Cho等的方法不同,我们没有切断LHBT关节盂/上盂唇止点,仅行LHBT移位固定,从而保留了LHBT近端的血供,最后根据远端LHBT肌腱质量选择切断或保留 LHBT远端,临床随访发现术后除1例LHBT远端切断患者术后出现鼓眼畸形外,其余患者术后均未出现明显并发症及不良反应。但因为本研究纳入病例较少、随访时间较短,所以仍需大样本长期随访来观察。
4 小结
本研究共纳入关节镜下“Chinese Way”SCR 患者 21例,其中Ⅰ型15例,Ⅱ型6例。术后平均随访21.1个月,所有患者肩关节活动度及临床评分均较术前明显改善,末次随访时UCLA 评分优良率达90.5%(19/21), MRI随访发现85.7%(18/21)的重建组织结构完整。可见关节镜下采用肱二头肌长头腱转位固定辅助替代上关节囊重建技术治疗巨大及不可修复肩袖撕裂,可明显缓解患者疼痛症状,改善关节活动度,恢复关节功能且结构失败率低。
参考文献:略



京公网安备11010502051256号