-
-
wc1397855 #2水水水水
山西省首台3D打印保膝截骨手术成功实施
2017-05-27 文章来源:山西日报记者 作者:秦阳 我要说
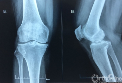
5月27日上午,山西医科大学第二医院骨科关节组副主任医师张民及其手术团队借助3D打印技术,成功为一位55岁的患者实施保膝截骨手术。标志着山西省首台3D打印保膝截骨手术取得成功,此项新技术的开展,为广大骨关节病患者带来了福音,此类疾病患者中逾1/3可终身保有自身关节,不再需要置换人工关节。
【病例介绍】
患者杨某患双膝骨性关节炎6年,关节变形,疼痛难忍,近几个月病情加重,5月22日到山医大二院骨科就诊。当得知该院可使用3D打印个性化定制截骨导引板进行胫骨平台高位截骨手术,手术时间只需要20多分钟,且费用是置换人工关节的一半。这一技术保留了患者自身的膝关节,术后能完全恢复自身膝关节的生理功能,而且以后还可以继续做农活时,决定接受3D打印截骨手术。




【关于疾病】
膝关节骨性关节炎是一种以退行性病理改变为基础的中老年人常见病。对于畸形较轻、较年轻的患者,首选保膝治疗。保膝治疗是一种既可纠正畸形,减轻疼痛,又可保留患者自然的膝关节,最大程度的保留关节的运动功能和舒适性的一种治疗方案,可以延缓关节置换的时间,甚至终身不必置换关节。保膝治疗包括药物治疗、胫骨截骨术和单髁置换术,与全膝关节置换术构成了膝关节骨性关节炎的“阶梯性治疗”,“保膝”和“换膝”并举。根据患者病情发展的不同阶段,畸形程度,年龄和功能需求等因素,提供不同的手术选择,真正做到“精准医疗”。
“高位胫骨截骨手术(HTO)已经开展多年,但是,之前由于手术难度高,如果没有精确的角度、深度、斜率等数据为依据,很可能对患者造成骨折及多项病发症,一般都需要具有丰富经验的临床医生才敢实施手术。”通过相关精密设备采集患者数据,并分析制定出个性化手术方案,打印出手术中导引手术角度、深度等6个精准化数据的导板,手术时间缩短了一半以上,且术后患者不仅膝关节疼痛即刻缓解,2-3天左右就可在适当的护膝辅具下,轻踩试走。高位胫骨截骨手术(HTO)最大限度保留患者机体功能,对于术后生活质量要求高及活动度大的患者,成为很好的选择。
专家简介

张民 副主任医师 医学博士 研究生导师
山西省卫计委首批临床高端领军人才,中华医学会骨科学分会青年委员、中华医学会运动医疗分会青委会委员、中国医师协会骨科医师分会骨科菁英委员会委员,中国医师协会骨科康复专业委员会委员、中国康复医学会肢残康复专业委员会委员。中国修复重建外科学会骨缺损与骨坏死专业学组委员,国际矫形与创伤外科学会(SICOT)中国青年部常务委员,白求恩基金会骨科基层教育委员会常务委员,山西省卫计委首批临床高端领军人才,山西省医学会运动医学专业委员会常务委员,山西省医学会内镜专委员会委员。
曾在瑞典和美国学习二年,在德国,法国,韩国,香港交流学习。主持山西省科技攻关计划项目、山西省留学归国人员基金等省部级科研项目,山西省人社厅留学择优资助重点项目5项,山西省科技进步二等奖1项,山西省高等学校科学技术一等奖1项,主编和参编各类教材、专著5部。
| 请登录|注册后发表评论! |
-
-
wc1397855 #1硕大的



京公网安备11010502051256号