天津医院成功为重度肥胖截瘫患者完成高难度手术
2016-08-04 文章来源:天津医院 我要说
近日,一名体重130公斤的双下肢瘫痪患者在天津医院接受椎板减压术后,神经功能逐步恢复,康复出院。该患者还患有干燥综合征、严重高血压、低钾血症、心律失常等多种疾病,她的康复得益于天津医院脊柱外科二病区主任苗军博士团队的精心准备和完美手术配合。
40岁的刘女士来自河北省廊坊,半年前出现腰部及左下肢麻木无力的症状,近一个月出现了双下肢麻木,逐渐发展为双下肢瘫痪。因为刘女士患有多年的干燥综合征病史,这是一种侵犯外分泌腺体尤以侵犯唾液腺和泪腺为主的慢性自身免疫性疾病,主要表现为口、眼干燥,也可有多器官、多系统损害,同时她还伴有严重高血压、低钾血症、心律失常,身高1.60米,体重130公斤。
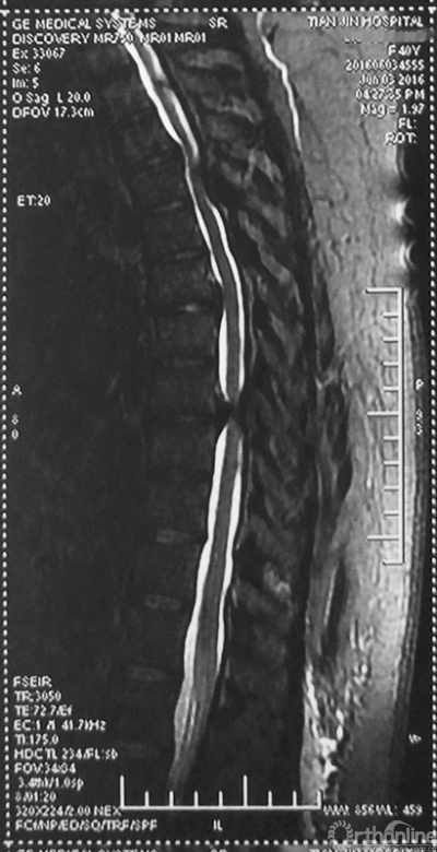
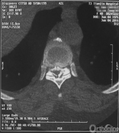
家人曾带她辗转当地治疗,因病情复杂没有得到有效的治疗,于是慕名找到天津医院脊柱外科二病区主任苗军博士诊治,当苗军主任看到躺在担架上的刘女士痛苦的表情和渴望健康的眼神,他决定收她入院为其进行手术治疗。入院检查发现,刘女士患有多节段胸椎管狭窄症,以胸8-9节段严重,椎管狭窄达80%,脊髓已严重变性。

术前MRI

术前CT
为保证手术安全,苗军主任带领全体医护人员对刘女士的各项指标重点监测,与相关科室合作努力降血压、提升血钾水平,并给予神经营养治疗约一周,但其神经功能仅得到微弱的恢复。如果想继续恢复患者的神经功能,唯一的选择就是进行手术减压治疗。
然而刘女士存在严重的高血压、低血钾和重度肥胖,以及干燥综合征带来的自身免疫系统的缺陷,极大增加本来就很难做的胸椎管减压手术的风险,存在进一步完全截瘫可能,术中也可能出血较多。由于重度肥胖,喉管也明显狭窄,麻醉插管很困难,麻醉苏醒后很可能出现窒息死亡,麻醉风险也很大。

术前精心准备
主管医师充分和家属沟通后同意手术,然而两次安排手术,都因为高血压和相关风险而暂停手术,刘女士非常伤心,家属也非常着急。关键时刻苗军主任与麻醉科任万陆主任共同对刘女士的病情进行分析,充分评估了术中的风险,再次做了详细的准备,服用三种降压药控制血压,大剂量补充氯化钾。
最终,由任万陆主任亲自为患者进行了全身麻醉,苗军主任为其实施了后路的胸8-10椎板减压术,手术麻醉过程平稳,手术出血不多,术后不仅没有截瘫,神经功能进一步恢复,好转出院。术后一个月随访,患者已经可以扶助行器行走,患者对疗效非常满意。

术后CT
苗军主任介绍,胸椎椎管狭窄症是一种好发于中老年人群的椎管狭窄病,以北方高氟地区较多见,常见症状为导致人的下肢无力、麻木等,严重者会导致瘫痪,影响人的正常生活和工作。一般胸椎椎管狭窄症的发病年龄多在中年以后,主要位于下胸段(胸7-12节段),但上胸段也常常能遇到。
胸椎椎管狭窄症发展缓慢,起初多表现为胸腹部有束带感,单侧或双侧下肢的麻木、无力、僵硬及不灵活,感觉下肢发笨,行走不稳,遇到台阶或门槛迈过去比较困难,易摔倒,需别人搀扶或扶墙行走,严重者会发生截瘫。患者一旦发病,多呈进行性加重,病情发展速度快慢不一,快者1个月即发生截瘫。
胸椎管狭窄症与腰椎管狭窄症的区别在于,胸椎管狭窄症主要是行走不稳,踩棉感,易摔跤,腰椎管狭窄症主要表现是间歇性跛行,腰臀部和下肢酸胀麻木不适,不能走远路,骑自行车可以远行。
苗军主任提醒,由于胸椎管狭窄症截瘫率很高,手术风险极大,平时须注意胸椎椎管狭窄症的临床表现,一旦有症状,宜尽早去正规医院进行检查治疗,如果确诊并伴有神经症状,宜尽早手术治疗。



京公网安备11010502051256号