北京积水潭医院抢救因钢筋高空坠落刺穿左腿患者
2014-12-27 文章来源:北京积水潭医院 于淼 梁学亚 我要说
2014年12月25日上午11点15分左右,北京积水潭医院急诊室送来一位创伤病人。
经了解,伤者陈某为河南进京打工人员,当天上午在花乡一建筑工地的电梯井里干活,突然,一根长近2米、直径近4厘米钢筋从20多米高空落下,当场击中了正在地下室作业的陈某,钢筋从陈某的左膝关节外侧斜穿至左小腿内侧,和他同在地下室干活的工友等紧急送往北京积水潭医院。
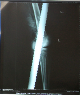
北京积水潭医院急诊的大夫和护士迅速对病人进行抢救,心电监护,开放静脉,并将患者左腿上的裤子小心翼翼的剪开。创伤骨科孙旭大夫和手外科童德迪、薛云浩大夫一边了解病人的情况,一边给病人进行检查,病人左脚没有知觉,怀疑至少有一根神经有损伤,为判断是否有骨折,拍了X光片子。
“手术过程是个技术活儿,要轻柔的取出钢筋,这样既减小了组织的破坏,又降低了感染的风险。” 创伤骨科孙旭大夫说。同时,术前准备在紧张地进行着。
麻醉成功后,手外科童德迪医生慢慢将钢筋拔出,钢筋从膝关节穿过去,股骨下端和胫骨都劈断了,因伤势严重,术中要探查和修补血管和神经,最后上外固定架,手术进行了2个多小时,经过全体医护人员的努力,病人救治成功。


创伤骨科孙旭大夫和手外科童德迪、薛云浩大夫等商讨治疗方案

医生正在为患者手术

X光片



京公网安备11010502051256号