“问倒老师系列”之二:陈旧外髁骨折怎么办?

2014-02-25   文章来源:天津医院小儿骨科微信平台:天津小儿骨科TJPO    我要说

  摘要:If I have seen further it is by standing on the shoulders of giants. ——Isaac Newton

  小编的话:上周开始我们的“问倒老师系列”,有朋友开玩笑说,“没有问倒啊?”^_^虽然叫这个名字,其实,没想真的问倒老师啦。希望一点点能让大家感受到一个学识渊博、旁征博引、富有哲学头脑、经验丰富,同时又幽默风趣的“问不倒的老师”。严格来说,应该是“小儿骨科之问不倒的老师系列”。对于我们的前辈老师们,我们应该时刻怀有尊敬与感恩之心。因为,如牛顿所言:If I have seen further it is by standing on the shoulders of giants.
  上周咱们聊的是肱骨外髁骨折初始治疗的一些问题,今天继续聊:原始治疗不当发生骨折不愈合+肘外翻畸形怎么办?

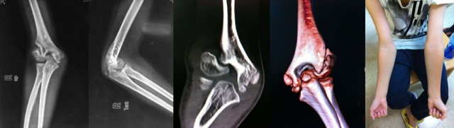
  学生:12岁男孩,2岁时有外伤史,无原始片。因右肘外翻和提重物力量差就诊,体格检查右肘关节屈伸功能良好,没有神经受累症状。您的诊断?
  老师:我考虑有两种可能,既往发生过肱骨外髁骨折或者肱骨远端全骨骺分离。两者的一个重要区别点就是是否存在外翻不稳定。如有明显的外翻不稳定,则多数情况下应该是陈旧外髁骨折。如果只有外观外翻而没有外翻不稳定,则有可能是很小时候发生的肱骨远端全骺分离长期塑形的结果,也有不愈合的可能,但后者可能性很小,陈旧外髁骨折的可能性大。
  学生:如果是陈旧外髁骨折,您的处理意见?需要手术吗?
  老师:我会考虑手术。
  学生:您手术基于哪些考虑?我可以等肘关节出现疼痛或者尺神经麻痹后再手术可以吗?
  老师:几点:a、孩子现有明显的外观畸形,上肢力线异常,附于外髁的前臂伸肌群由于初始长度变短可能会导致一定程度的上肢功能紊乱,就像股骨大转子“over riding”的病人会出现臀中肌跛行道理类似;b、肱桡之间关系“不匹配”,可能导致肘关节不稳定,孩子“提重物力量差”给我们很好的提示;c、显著的肘外翻继发出现尺神经麻痹的风险极高,从医生角度,在预计出现继发损伤之前提前给予干预,中断疾病的自然进程,可能比出现症状以后再行“补救”意义更大。另外,这种情况很少会出现疼痛,尺神经症状一般也会在成年后出现。
  学生:如果手术,您会采取什么策略?

  老师:手术目的包括“促进不愈合处愈合+肘外翻畸形矫正”,我会做骨折处的原位加压融合+低位肱骨髁上截骨。一个很重要的原则就是不要做切开复位,不要为了试图做切开复位而过度显露剥离不愈合处,否则可能会严重影响骨块的血运,因为肱骨外髁骨块血供主要来自于后方。

  学生:不愈合处融合后可能反而会影响肘关节功能吗?
  老师:有可能。所以,在融合前要看一下肘关节屈伸活动是否包含假关节成分,如果假关节是参与肘关节屈伸活动的主要部位,那么假关节还不能融合。确定肘关节屈伸活动的方法是麻醉后先用克氏针把外髁骨折块与近端临时固定在一起,然后查肘关节屈伸活动,看肘关节活动度有无变化。如果在临时克氏针固定后肘关节活动度丢失很多,则提示肘关节活动以假关节活动为主,像这种情况假关节就保留,不能直接融合固定。如果肘关节还有一定活动度,那就做融合,其他部分可以通过术后功能锻炼来获得。还有一种就是一半一半,就是临时固定上以后关节活动度减少但还有一定的活动度,比如还有60~90度的活动度这样假关节也是可以愈合的。我个人经验术后功能锻炼好的话也是可以的,一般一年之内肘关节活动可以获得较好恢复。

  学生:我看到JBJS有篇文献介绍针对类似畸形的后路原位融合+dome截骨矫形术,您怎么看?

  老师:文献核心是对移位不大的外髁骨折不愈合行原位加压以促进愈合,同时做内侧“闭合楔形”截骨纠正肘外翻。肘外翻畸形主要于冠状面,侧方入路就能很好显露,术中用克氏针定位指示截骨方向与水平,似乎没有必要用暴露和损伤相对较大的后侧入路,后方入路发生术后肘关节功能障碍的风险相对较高。因此,我还是习惯采用侧方入路。另外,对于肘内翻畸形的矫正有很多种术式,有研究发现,术式越复杂,术后并发症的风险越高。
  学生:做髁上截骨矫形,您会怎么固定?Slongo谈到利用单臂外固定架固定,可以吗?
  老师:对于小年龄儿童我会用克氏针固定,青少年可以采用钢板固定。Slongo利用单臂外架行创伤后肘内翻截骨矫形的固定,对三维畸形(冠状面内翻、矢状面前倾丢失、水平面内旋)的纠正可能更有优势。外髁骨折后肘外翻更多是单平面畸形。
  学生:单纯内侧入路作内侧闭合楔形截骨,可能会造成明显的机械轴侧移吗?需要遵守下肢畸形矫正的原则吗?
  老师:Good boy!外髁骨折以及陈旧外髁不愈合是否出现侧方位移(即肱尺关系异常)与原始骨折类型有关,Milch II型会出现成角+位移,I型则不会,这个孩子虽然外翻明显但并肱尺对位基本正常。
  对肘内翻等肘关节成角畸形进行矫正时选择合适的截骨水平及截骨方向,术中辅以克氏针C臂定位,可以达到很好的矫形效果。我们的系列病例中,部分矫形不满意,很多与截骨水平不当有关。
  上肢畸形矫正时是否需严格遵循下肢畸形矫正的原则尚待进一步研究。
………………………………………………………………………………………………
  感谢广州LY提供病例,感谢积水潭Zhang主任的分享……


分享到:
已有 3 条评论
登录|注册后发表评论!
张中礼 #3
应该是“内侧闭合楔形截骨”,谢谢批评指正
发表于:2014-02-25 22:02:26  IP:117.10.153.140
liuyi207 #2
(学生:单纯外侧入路作外侧闭合楔形截骨,可能会造成明显的机械轴侧移吗?)该病例是肘外翻畸形,还要外侧闭合截骨?
发表于:2014-02-25 19:02:25  IP:111.122.238.103
liuyi207 #1
(学生:单纯外侧入路作外侧闭合楔形截骨,可能会造成明显的机械轴侧移吗?)该病例是肘外翻畸形,还要外侧闭合截骨?
发表于:2014-02-25 19:02:56  IP:111.122.238.103