儿童骨科常用内固定及合理应用
2022-02-24 文章来源:中国骨与关节杂志 2022 年 2 月第 11 卷第 2 期 作者:王恩波,贾国强,张立军 我要说
儿童骨科在整个骨科专业中具有明显的特殊性,这就要求在骨科医师培养的过程中专门加入儿童骨科的内容。虽然目前已开始在骨科住院医师培训中增加了小儿骨科部分,但对我国骨科医师培训总体来说还明显不足。儿童患者的误诊误治情况在非专业小儿骨科医师中较为常见。笔者从现实需要出发,总结了小儿骨科常用内固定物及合理使用原则,并指出常见错误应用,供广大骨科医师参考与借鉴。
儿童是人群中比较特殊的群体,其生理和心理特点都与成人不同。骨骼、肌肉及关节都处在生长发育期,疾病的临床治疗及预后与成人亦有所不同。虽然儿童的常用内固定物基本都衍生于成人骨科,但其用法及使用原则有特殊性,要求在处理儿童患者时多加注意。笔者总结了儿童骨科常用内固定物及使用原则与方法,举出常见不合理应用案例,望广大骨科医师在处理儿童患者时合理应用内固定物,避免医源性并发症发生。
一、儿童骨科常用内固定及经验介绍
1.克氏针:Martin Kirschner于1909年发明了克氏针并开始临床应用,经历了多次改良后目前在骨科领域广泛应用。在儿童骨科尤其儿童骨创伤中更为常用。材质一般为不锈钢或钛,前者刚度强易于置入骨中。常用直径为1.0~2.5mm,长度一般10~20cm。克氏针最基本也是最重要的作用就是骨折复位后的内固定。
在儿童骨科一般有两种方式:一是干骺端和(或)骨骺部骨折固定,如肱骨外髁骨折;二是髓内贯穿固定,如尺桡骨骨折。光滑的克氏针可以贯通骺板固定,应用直径一般不超过2mm,同时贯通生长潜力较大骺板的克氏针一般不超过4枚,并避免反复使用克氏针贯穿骺板的操作。应用克氏针常见并发症有神经血管损伤、松动或退针、骨折再移位、针道感染等。入针针道应尽量避开重要血管及神经,可以经皮打入或经切口打入,出针时以针尖刚穿过皮质最为合适,出针过多对局部组织有损伤可能。一般针尾在皮肤外需要折弯,折弯部分2~3cm为宜,并用酒精棉球或纱布包裹,防止陷入皮内。如果准备留置体内,折弯针尾并尽量贴近骨面,术后仍需警惕克氏针退针。
对于骨折固定尽量选择稳定的克氏针布局和构型:如在肱骨髁上骨折中交叉针和外侧3枚扇形分布针较为稳定。如果局部入针点反复穿针,克氏针与骨界面摩擦力不足,不仅骨折固定不稳定容易再移位,也容易退针,应尽量避免。如果经皮打入克氏针针尾留在体外,在有外固定情况下最长留置10~12周。如没有外固定,活动时皮肤和针尾容易激惹产生分泌物,即针道感染,需要经常查看和换药。针道感染一般表浅不累及骨质,拔除克氏针后炎症很快消退。
2.弹性髓内针:1979年法国南锡大学医院开始首先应用弹性髓内针治疗儿童长管状骨干部骨折。目前在全世界儿童骨科得到了广泛应用,逐步成为儿童长管状骨干部骨折首选内固定器材。具有微创置入和取出、恢复快、损伤小等优势。其最佳适应证为:年龄5~10岁,体重<45kg患儿的长管状骨干部横形骨折。目前国内常用为钛质,长度40cm,直径1.5~4.0mm。
临床应用时,一般情况下选择弹性针直径=最窄髓腔直径×0.4。置入前需要预弯,并使得预弯最高点位于骨折处,获得骨折固定的最大稳定。根据我国儿童的体型,上肢通常选用的直径是2.0~2.5mm,下肢通常选用2.5~3.5mm。置针并不是直径越大越好,直径过大会给置入和取出带来困难。如果闭合复位后正确置入,骨折并发症较少。如果切开复位,骨愈合时间明显延长甚至骨不连发生,需要引起重视。
另外,对于针尾处理要重视:过于贴骨容易陷入骨中取出困难;如果翘起过长会局部激惹。一般骨外保留1cm左右并轻度翘起较为合适。如果骨折长度不稳定,可以考虑尾端加尾帽。取出时间一般上肢半年,下肢为半年至1年。对于外固定的应用多数小儿骨科医师认为有必要,可以防止骨折再移位及退针。待局部骨痂出现,一般3周左右即可拆除外固定,但下肢骨折还不能立刻负重,要根据患儿年龄及复查影像综合判断开始负重时间。
3.交锁髓内针:1939年德国Kuntscher教授首次应用硬质髓内针治疗成人股骨干骨折,经过不断的改进和发展,目前已广泛应用于成人长管状骨干部骨折。其通过双平面的交叉锁定,将主钉、骨及锁定螺钉连为一体,具有较好的稳定性,成为闭合干部骨折的治疗首选。近年来,在青少年下肢骨折中也逐渐开始应用,主要应用于股骨干骨折,称为青少年股骨硬质髓内针。其主要特点是主钉具有12°~14°外翻角,入钉点位于股骨大转子外侧面,这样可以最大限度地减少对青少年股骨近端发育的影响。应用年龄一般为女孩11岁以上,男孩12岁以上,并有年龄逐渐减小的趋势。直径一般8~9mm 左右,远端止于股骨远端骺板的近端。手术技术和方法近似成人交锁髓内针。术后可以不用外固定,有骨痂形成即可逐步负重。如果不具备青少年股骨髓内针,外翻角5°的成人小直径交锁髓内针也可替代,大转子顶端入钉,治疗效果基本相同。在置钉和取钉过程中注意尽量减少剥离大转子周围软组织,尤其不能向内侧剥离,以免影响股骨头血供。另外上述髓内针也逐渐开始应用于青少年肢体矫形,骺板成线状剩余生长潜力小的患儿即可应用,可在截骨矫形后获得更好的稳定性。
4.接骨板:接骨板应用于临床约有130年的历史。1895 年,英国的Lane教授首次将金属接骨板用于固定骨折远近端。1964 年,由于其它金属的高腐蚀性和低组织耐受性,钛板在未经足够临床试验的情况下首次应用于人体,并逐渐占据主导地位,接骨板也由最初的金属铁板,经历钼 - 钴等混合板逐渐演变成今天的钛质接骨板。机械力学上,Danis由于发明了加压接骨板而被誉为“现代接骨板之父”。目前,临床应用最为广泛的是同时具有锁定和加压作用的接骨板。
接骨板固定一般至少需要锁定固定骨折远近端四个皮质,防止出现内固定松动。接骨板根据其外形可分为直接骨板、角接骨板以及用于特殊部位的解剖板。直接骨板主要用于四肢长管状骨干部骨折。角接骨板用于股骨近端截骨,解剖板多用于骨骺接近或已经闭合的干骺端,如股骨远端 Liss接骨板。MIPO技术使用肌肉下接骨板,相对微创,组织损伤小,目前主要应用于弹性髓内针、外架等其它方式难以解决的干部长斜形或螺旋形骨折。大龄儿童前臂干部骨折可选用1/3管型接骨板。儿童特殊部位或使用的接骨板还包括8字接骨板、儿童髋接骨板(pediatric hip plate,PHP)。8字接骨板主要利用骨骺生长导向治疗的原理,用于矫正成角畸形或肢体不等长,适用于尚有一定生长潜力的儿童,比如膝、踝关节内外翻、双下肢不等长等。儿童PHP接骨板主要应用于转子间骨折或髋内、外翻等股骨近端截骨矫形,90°PHP又称为“倒打PHP”,可以用来固定股骨远端干骺端骨折。目前在儿童骨科,接骨板主要应用于干骺端骨折或截骨,在骨干部骨折其主导地位逐渐被髓内固定取代。术后一般建议应用石膏或支具外固定3~4周 (局部骨痂形成),下肢完全负重一般需要2个月以上,儿童患者提早负重容易发生骨折移位和(或) 接骨板断裂。无论上下肢,接骨板取出以1年为宜,防止再骨折。
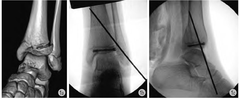
5.螺钉:1850年,法国医师 Cucel 和 Rigaud 首次将螺钉应用于临床,经皮固定治疗鹰嘴骨折。之后,随着内固定材料和医学的进步,螺钉逐渐在临床应用,经过 Hansmann、William 以及 Danis 和 Müller 师徒近一个世纪的发展与改良,形成了目前临床上使用较多的AO系统螺钉。螺钉种类多样,常用于儿童的单独使用的螺钉主要包括金属加压空心钉和可吸收钉或棒,由于加压特点不同金属螺钉又分为全螺纹螺钉和半螺纹螺钉,全螺纹螺钉因不同螺距进行加压,半螺纹螺钉利用头端膨大部位进行加压。螺钉适应证主要有骨骺和干骺端骨折、关节内骨软骨骨折、牵拉骨骺的撕脱骨折以及脊柱矫形、骨盆截骨处固定等,也可应用于生长导向治疗。一般而言,螺钉禁止穿越骺板固定。加压螺钉临床应用广泛,比如儿童胫骨远端骨骺骨折时,可使用空心螺钉平行骺板加压固定 (图1);股骨颈骨折、股骨头骨骺滑脱时,可使用半螺纹或全螺纹变距螺钉加压固定;髋关节发育不良行三联截骨时,也可用全螺纹螺钉固定髂骨截骨端。可吸收钉棒系统主要用于关节内骨软骨骨折、牵拉骨骺撕脱骨折等,虽然可降解不用二次手术取出,但固定牢固性相对于金属螺钉弱,需要术者有所考虑。膝关节等关节面骨折可选用多枚可吸收棒固定,临床效果尚可。金属螺钉置入时要考虑取出时容易寻找,尤其是全螺纹无头空心钉。青少年股骨颈骨折及股骨头骨骺滑脱术后2年以上取螺钉会较为困难,可以早些取或者不取出。

图1 患儿 女12岁
a:左胫骨远端三平面骨折;b、c:切开复位,空心钉+克氏针固定,空心钉平行骺板且位于骨骺内,辅以斜行克氏针穿越骺板固定
6.用于儿童骨病的特殊内固定:一些儿童骨病的治疗原则是髓内固定,以矫正畸形并防止畸形复发和再骨折,比如纤维结构不良和成骨不全的治疗。以治疗成骨不全为例,可应用 Rush 钉和两代子母钉。Rush钉是一种硬质髓内钉,于1959由美国 Shriners医院Sofield和Millar教授首次应用于临床,直钉称为Sofield钉,弯钉称为Rush钉,可用于治疗成骨不全、先天性胫骨假关节等。股骨入针点选择在大转子尖顺行置入,胫骨多经由跟骨逆行置入。Rush 钉不可髓内延长,随生长需要多次更换。子母钉由于两端螺纹分别固定于长骨两端骨骺,望远镜筒式设计使钉主体可随骨的生长逐渐滑动延长,目前广泛应用治疗儿童成骨不全。1963年,澳大利亚墨尔本皇家医院Bailey和Dubow教授介绍了第一代子母钉,即Bailey-Dubow系统。随着疾病诊疗的演进,2001 年,加拿大Shriners医院成骨不全专家团队研制了新型微创的第二代Fassier-Duval子母钉系统,具有软组织及骨骺损伤小、失血量少、可进行多骨置入等优点。根据近20年的临床应用,二代子母钉也有不足之处,如子钉断裂、更换翻修困难、子母钉失滑动等,其中年龄<5.5 岁是内置物并发症的主要危险因素,并发症发生率约 50%。对青少年患者,可考虑应用硬质交锁髓内针。
7.脊柱钉棒系统:儿童脊柱后路钉棒内固定系统是目前儿童最常用的脊柱后路内固定器材。螺钉置入前在影像系统中仔细测量固定椎体的参数,计划置入螺钉的位置、直径、长度和方向。儿童脊柱中,颈椎常用螺钉直径为3.0~4.5mm,胸椎为4.0~5.5mm,腰椎为5.0~6.5mm。螺钉置入按照定位、开路、攻丝、置入螺钉的顺序进行置钉,开路后及攻丝后均需用椎弓根探子确定钉道四壁及前方的完整。需要强调的是由于儿童椎弓根直径小,钉道改动会影响螺钉的固定效果,所以必须进行术中X线透视,确认钉道位置良好才置入。棒的直径在颈椎中常使用3.5mm,胸腰椎可根据患儿年龄选择4.5mm或5.5mm。
椎弓根螺钉置入时可能因置入位置不佳、角度不对或螺钉长度不合适造成固定强度的降低、神经脊髓损伤、血管损伤等。但通过详细的术前评估、精细的术中操作以及对畸形脊椎等“高危区域”的关注,大多数情况下可以获得精确和安全的椎弓根螺钉置入。儿童椎弓根螺钉 - 棒内固定系统一般可不用取出,脊椎发育受限或内固定断裂引起症状是取出内固定的适应证。
二、小儿骨科内固定常见错误与并发症
1.克氏针过多、过于集中或反复贯穿骺板操作:
(1)虽然光滑克氏针可以贯穿骺板,但不等于不会给骺板带来损伤,只是损伤小未引起宏观的发育障碍。如果反复贯穿骺板操作,会导致局部骨桥形成、骺板早闭,引起肢体短缩和(或)成角畸形(图2)。(2)出针点如果过于集中,克氏针钻入时产热会引起局部骨坏死 (图2)。

图2 患儿 男 11岁
a:右胫骨远端骨骺骨折(Salter-HarrisⅡ型)合并腓骨远端骨折;b:闭合复位,胫骨远端6枚克氏针贯通骺板固定;c:术后4个月见右小腿远端红肿,流脓;d:愈合后出现胫骨远端骺板早闭(星号)+局部皮质骨坏死(箭头)+慢性骨髓炎形成
2.内固定选择和适应证不合理:
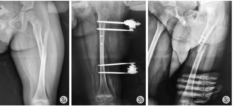
(1) 一般来说小年龄患儿的干部骨折不需要切开复位内固定,以股骨干为例,4 岁之前通常不用内固定治疗,4~10 岁之间通常选用弹性针固定,11 岁以上一般考虑青少年锁定髓内钉 (图3)。(2) 锁骨骨折儿童期通常不需要切开复位内固定 (图4)。在面对家长强烈的手术意愿下,应该与家长沟通选择合适的治疗方式,坚守儿童骨折的治疗原则。倘若因违背手术适应证而造成术后骨不连、骨髓炎等严重并发症,不仅患者的利益受到损害,更可能会引起诉讼纠纷。

图3 患儿 男 7岁
a、b:左股骨干骨折,应尽量闭合复位应用弹性针或肌肉下接骨板固定,该患儿切开复位,局部螺钉+外架固定;c:拆除外架后3个月发生再骨折

图4 患儿 男 10岁
a:左锁骨骨折应考虑保守治疗;b:外院行切开复位+接骨板固定;c:术后发生感染及骨髓炎
3.内固定使用不正确:
(1) 加压螺钉通常不要穿越骺板固定,但在少数骨不连情况下也可以考虑,例如陈旧肱骨外髁骨折合并骨不连;(2) 应用接骨板固定时要尽量保护骨折附近软组织、尽量少的骨膜剥离以减少延迟愈合及不愈合的风险;(3) 接骨板切忌跨越骺板固定,会导致局部骺板阻滞,引起发育障碍。接骨板跨越明显开放的骺板固定并期望通过早期取钉避免限制生长的做法不可取,因为局部骨膜剥离或Ranvier环破坏仍可形成骨桥栓系,亦会引起骨发育障碍 (图5);(4) 弹性髓内针因应用失规范导致的并发症也不少见,如 2 枚钉直径不同、未根据骨折位置适当预弯弹性钉、钉头部未有效锚定在干骺端导致失去六点固定作用等。

图5 患儿 男 11岁
a:左股骨远端粉碎骨折;b:切开复位+跨骺板Liss钢板固定;c、d:术后2个月虽然取出骨骺内螺钉,7个月后仍然出现膝外翻畸形
三、小儿骨科内固定与外固定的联合应用
儿童期患者有着明显不同于成人的生理与心理特点,这就要求与成人骨科患者区别对待。儿童期骨折形式简单,愈合及恢复快,不容易发生关节功能受限及卧床并发症。应用简单内固定维持复位,再应用坚强外固定维持至愈合,受到多数儿童骨科医师的青睐。术后不应用外固定,骨折再移位、延迟愈合、骨不连甚至内固定断裂等并发症会明显增多。常用外固定包括石膏及支具等,虽亦有外固定并发症可能,但正确应用外固定、悉心护理及随诊到位可避免发生。上肢应用外固定时间一般为3~5周,下肢一般4~6周,需要根据愈合和随诊情况由医师自行判定。
综上所述,儿童骨科是整个骨科专业中不可缺少的一部分,近些年仍在发展壮大。我国目前的国情还需要很多成人骨科医师兼顾处理儿童骨科患者。如何正确合理地使用骨科内固定来治疗儿童患者,需要骨科医师不断地学习和实践。若简单将成人患者的治疗方式套用在儿童患者上,很多处理方式是不合适的,会带来不必要的医源性损伤与并发症,也会引起医疗纠纷,望广大骨科医师给予足够重视。
志谢:特此对首都医科大学附属北京儿童医院骨科的姚子明医生、重庆医科大学附属儿童医院骨科的宿玉玺医生、福建省立医院小儿外科的康映泉医生及中国医科大学附属盛京医院小儿骨科的刘天婧医生为此文最终发表所提供的帮助表示衷心感谢。
参考文献:略



京公网安备11010502051256号